

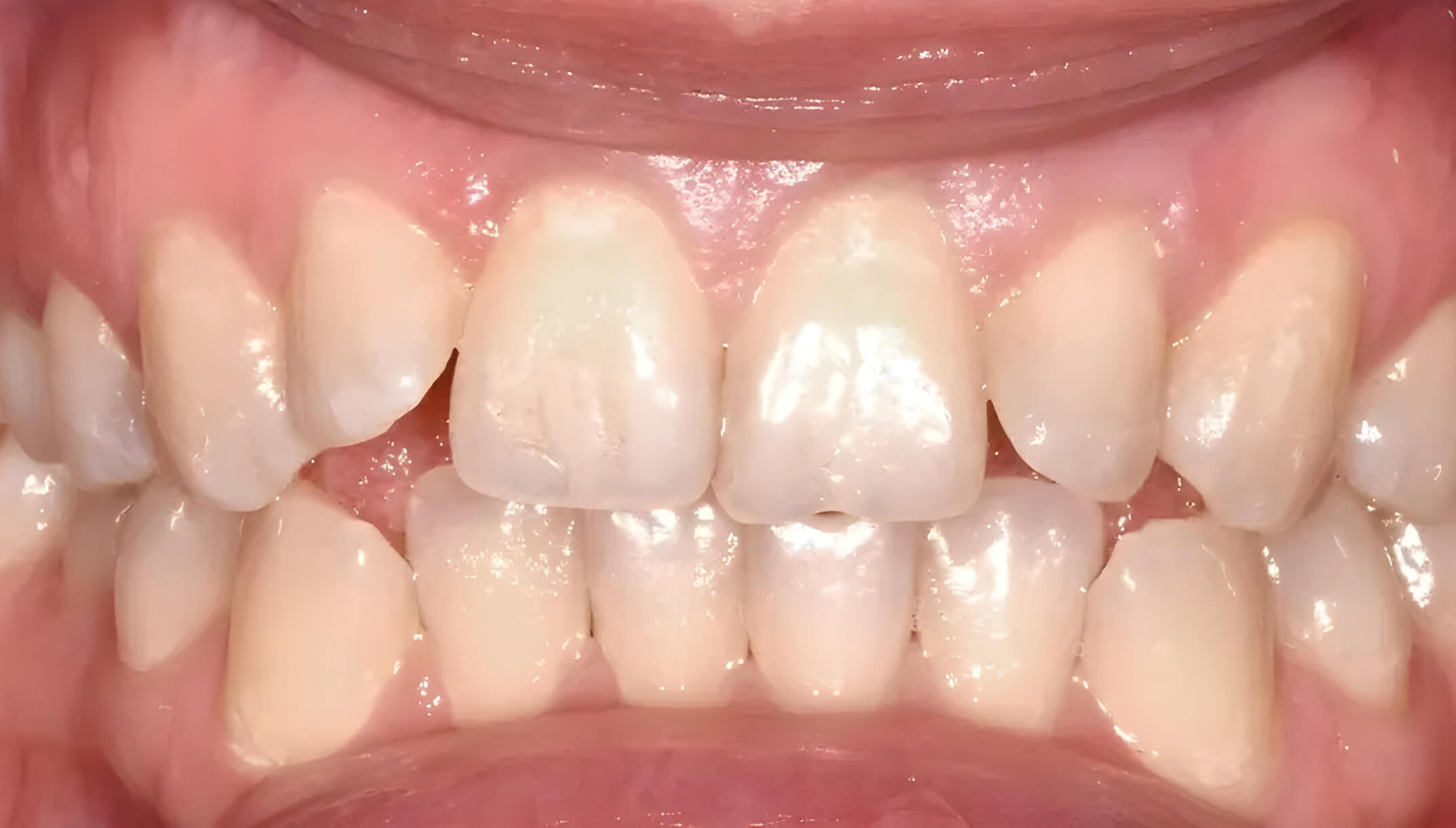
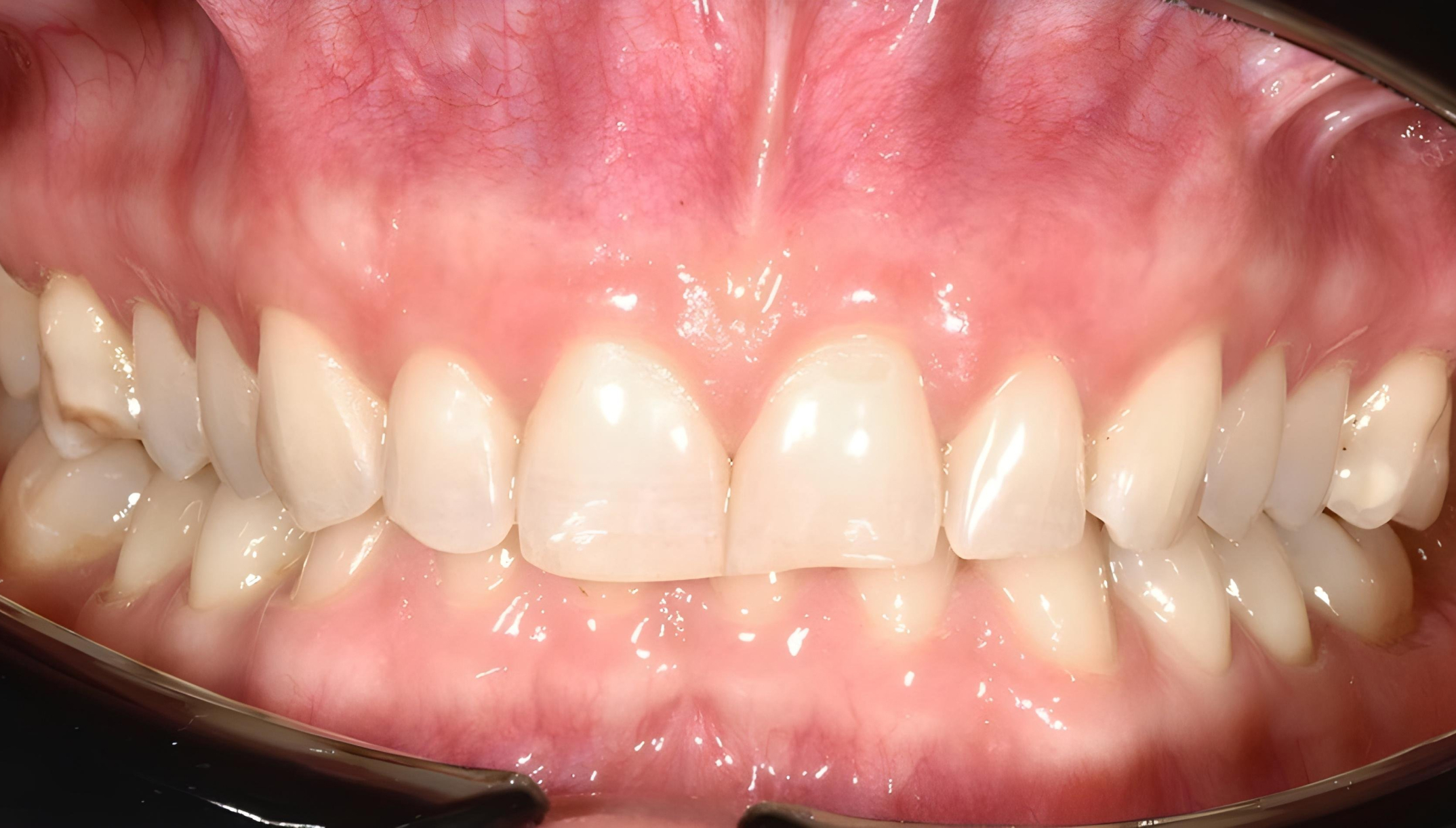
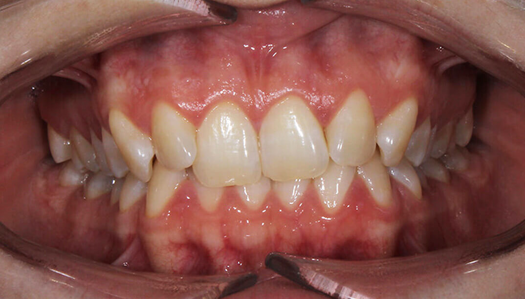
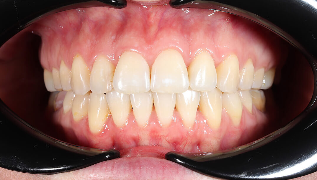
Before
After
Open Bite #4
Treatment time: 14 months
Aligners: 20 upper / 28 lower


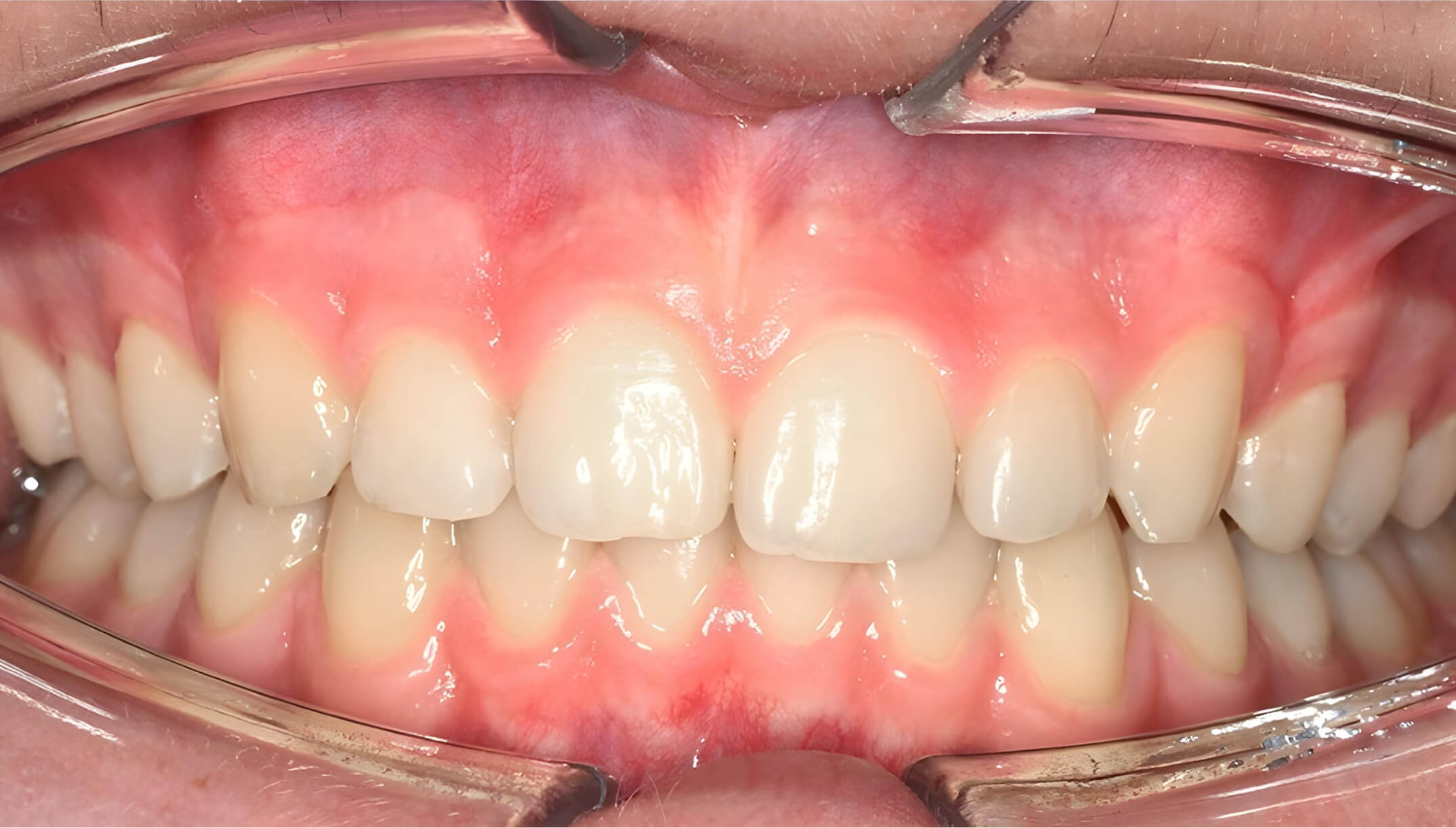
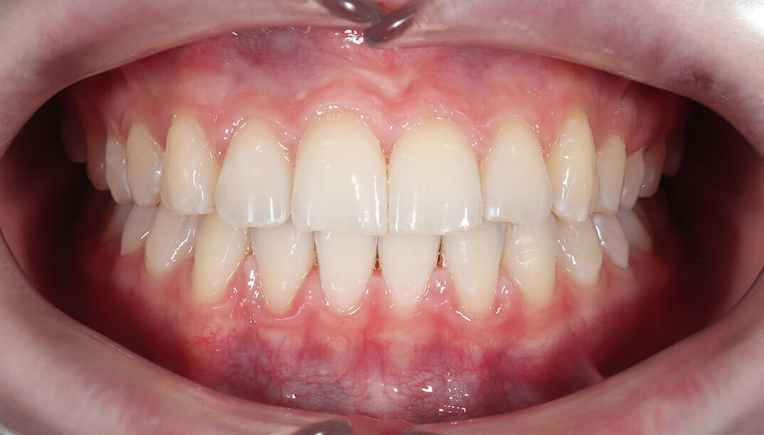
Before
After
Open Bite #3
Treatment time: 11 months
Aligners: 22 upper / 22 lower


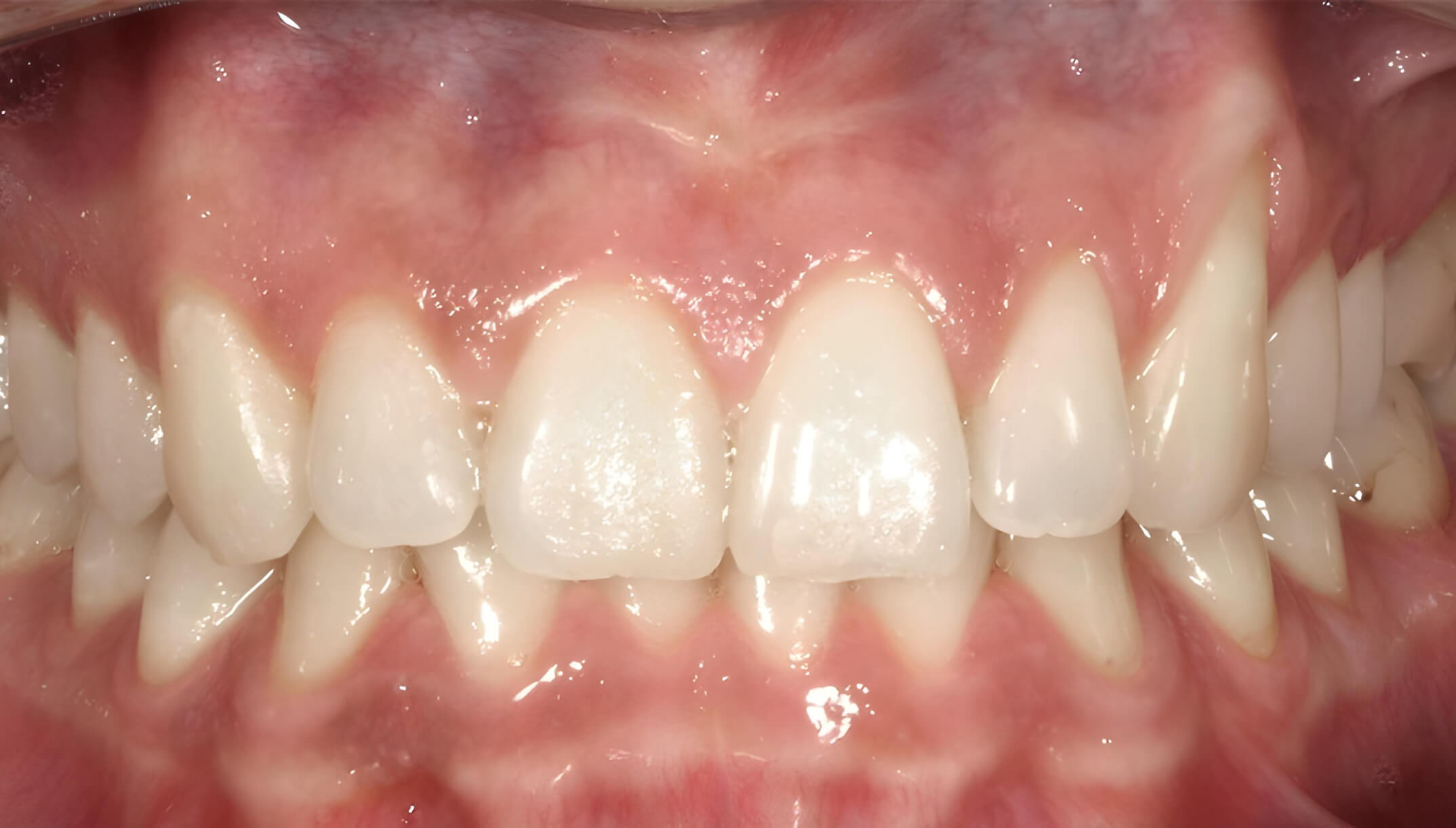
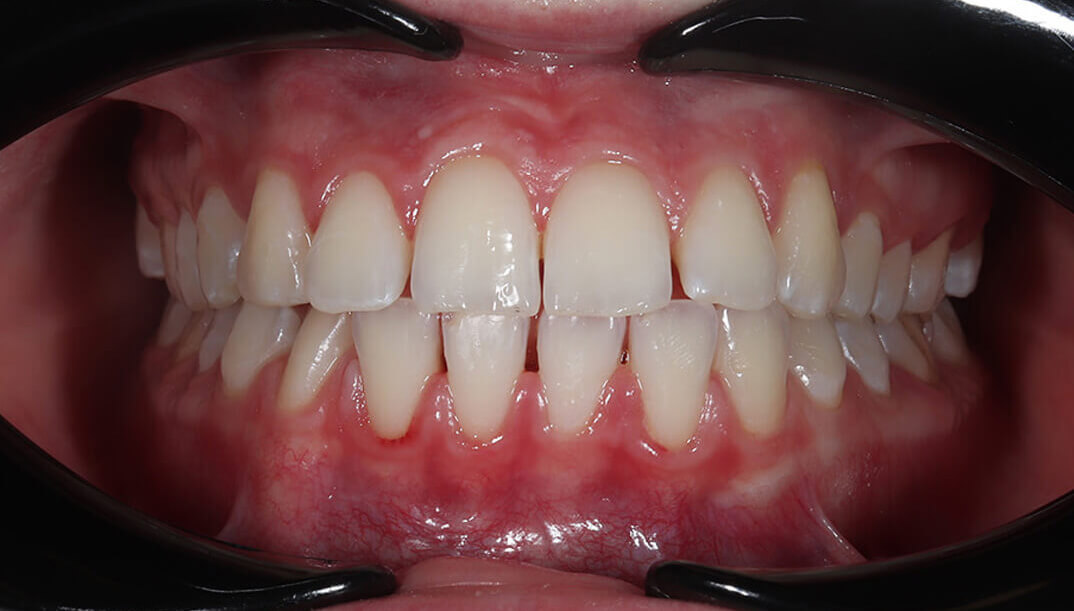
Before
After
Open Bite #2
Treatment time: 13 months
Aligners: 20 upper / 25 lower


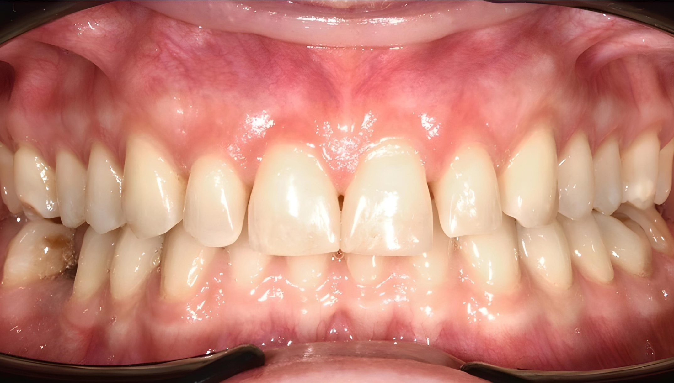
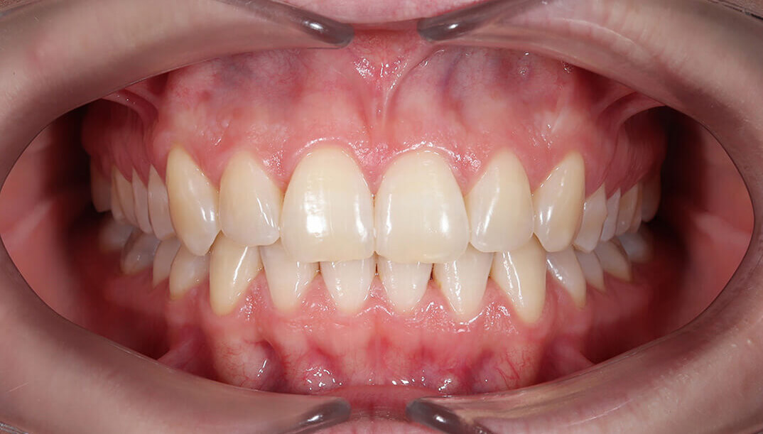
Before
After
Deep Bite #7
Treatment time: 13 months
Aligners: 26 upper / 26 lower


Before
After
Deep Bite #6
Treatment time: 8 months
Aligners: 16 upper / 16 lower


Before
After
Deep Bite #5
Treatment time: 18 months
Aligners: 35 upper / 20 lower


Before
After
Deep Bite #4
Treatment time: 13 months
Aligners: 26 upper / 26 lower


Before
After
Deep Bite #3
Treatment time: 10 months
Aligners: 20 upper / 14 lower


Before
After
Deep Bite #2
Treatment time: 10 months
Aligners: 20 upper / 20 lower


Before
After
Gap Teeth
Treatment time: 7 months
Aligners: 11 upper / 13 lower


Before
After
Deep Bite #1
Treatment time: 14 months
Aligners: 28 upper / 17 lower


Before
After
Open Bite #1
Treatment time: 13 months
Aligners: 27 upper / 19 lower
...
