80+
aligner brands worldwide chose VISION
130+
US patents
1K+
doctors chose us
200K+
patients treated
You Need Clarity. We Have Vision
How the SoftSmile Aligner Manufacturing Process Works
We start with clean data — SoftSmile software is designed specifically for orthodontic practices.
Just upload your patient information and scans, and the system automatically segments teeth, removes artifacts, and aligns the scan — giving you a perfect foundation to work with.
Less manual work, more precision from the very first click.
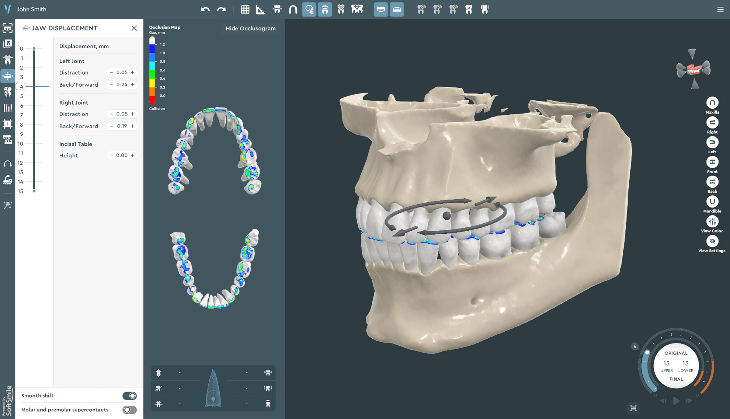
Plan with confidence — AI-powered software positions teeth into the ideal arch while giving you full control.
Adjust movements, elastics, and attachments with precision. The AI leverages insights from hundreds of clinical cases, automating decisions and reducing manual work.
Get approvals faster — review the treatment plan your way with our software.
Once your treatment plan is approved, your aligners are produced and shipped directly—fast, reliable, and ready for your patients.
Ortho Practices' Top Choice
Our cutting-edge AI technologies enhance every aspect of your practice, from treatment planning to patient management, making processes more efficient, precise, and predictable. With AI integration, your workflow becomes faster and more streamlined, ensuring optimal treatment outcomes with minimal effort.
We are proud to hold over 100 patents, showcasing our commitment to innovation and leadership in the orthodontic technology space. These patents reflect our continuous effort to push the boundaries of what's possible, ensuring that your practice benefits from the latest advancements.
We provide ongoing, dedicated support to ensure your practice operates smoothly. Our expert team is always available to assist with software implementation, troubleshooting, and optimizing your use of SoftSmile’s features, ensuring seamless integration into your workflow.
We understand that each practice is unique. SoftSmile’s solutions are customizable to your specific needs, allowing you to tailor treatment plans, workflows, and patient management tools to suit your practice’s goals and challenges.
Designed with clinical expertise, our software combines innovation and real-world insights from practicing orthodontists to meet the evolving needs of modern practices.
We place the highest priority on the security of your orthodontic practice. Our cloud-based software minimizes the risk of data breaches and ensures compliance with applicable regulatory standards and requirements, creating a secure and efficient operational environment. By streamlining IT management, we allow you to focus on patient care while we safeguard your sensitive data.
Pick the in-office clear aligner software solution that suits your workflow:
- Dr. Vision
- Vision LAB
- Design Services
Get a quick setup walkthrough from our team.
We'll show you how to use the software and help your team get started — no steep learning curve.
Start a 14-day Trial of Dr. Vision and complete your first 3 treatment plans at no cost.
Explore AI-powered tools and experience the intuitive workflow.
Review and edit treatment plans in Portal, exchange feedback with labs, and finalize cases faster.
Scale easily as your case volume grows.
Enjoy real benefits with SoftSmile — enhanced patient experiences, streamlined workflows, and a more motivated team driving your practice’s success.
Our Awards
Let’s Talk About Your Practice







