

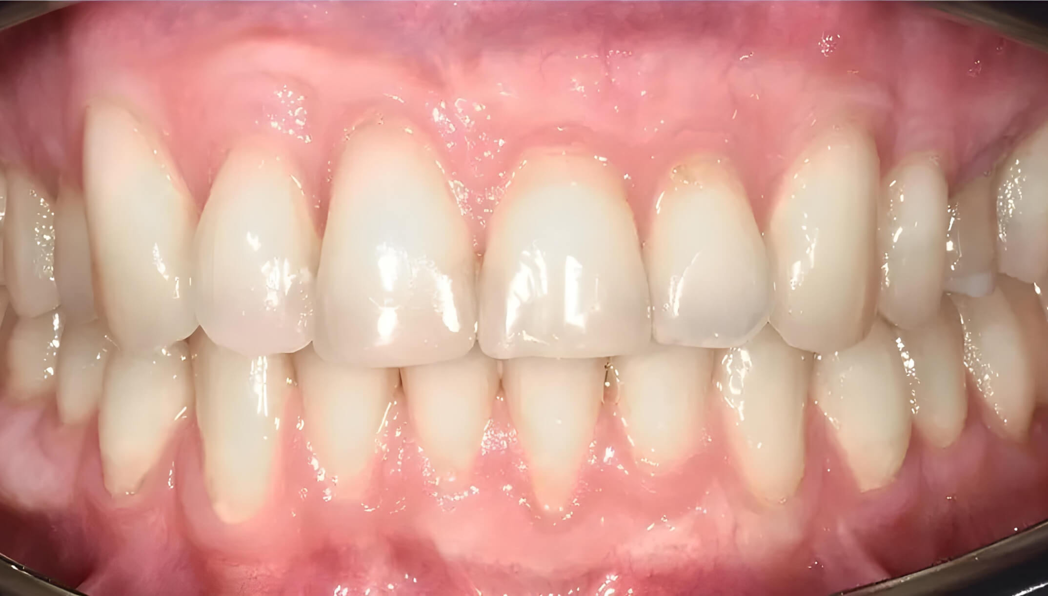
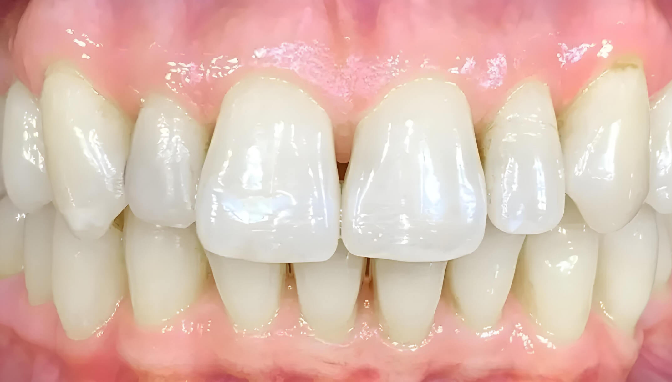
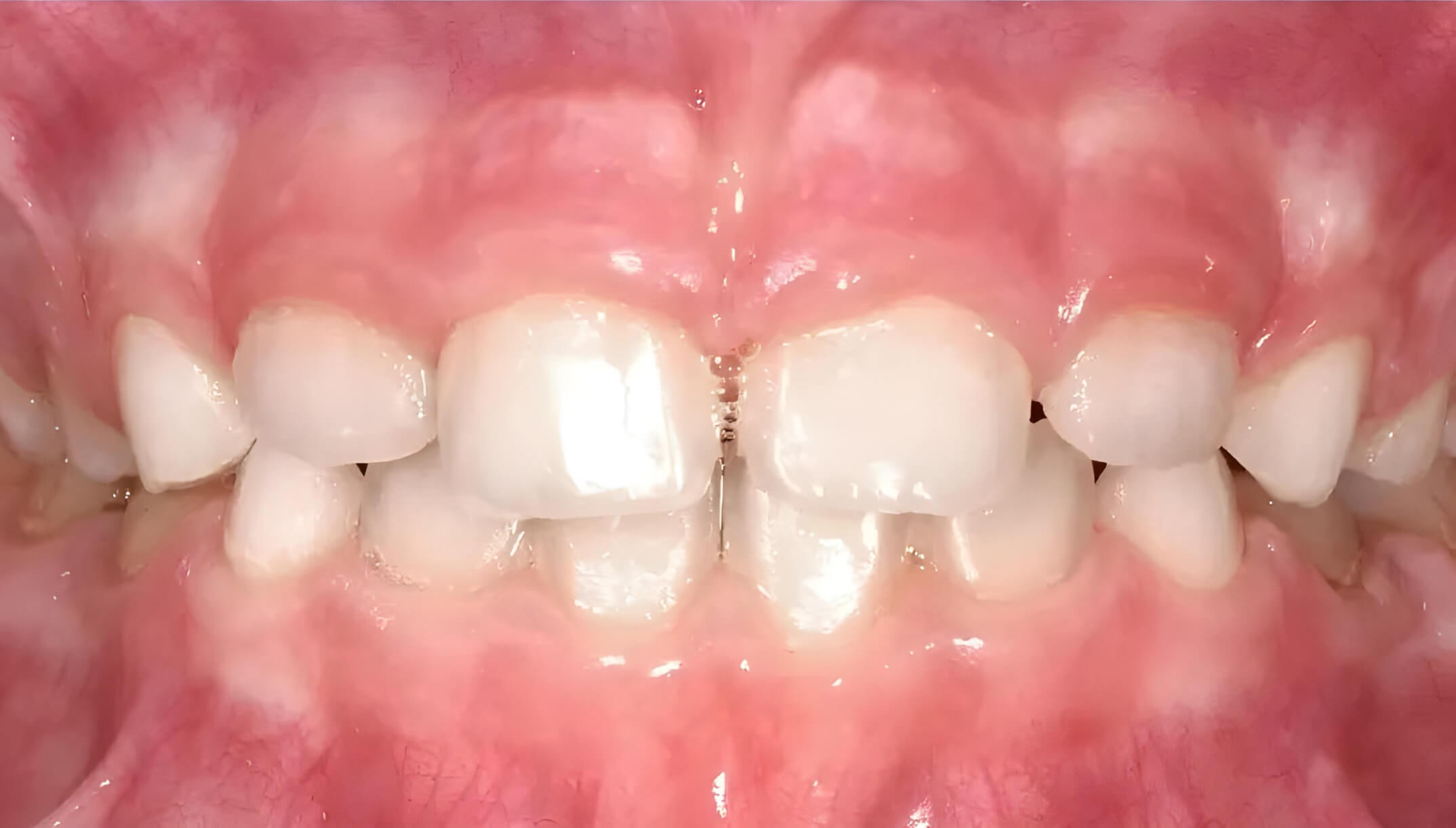
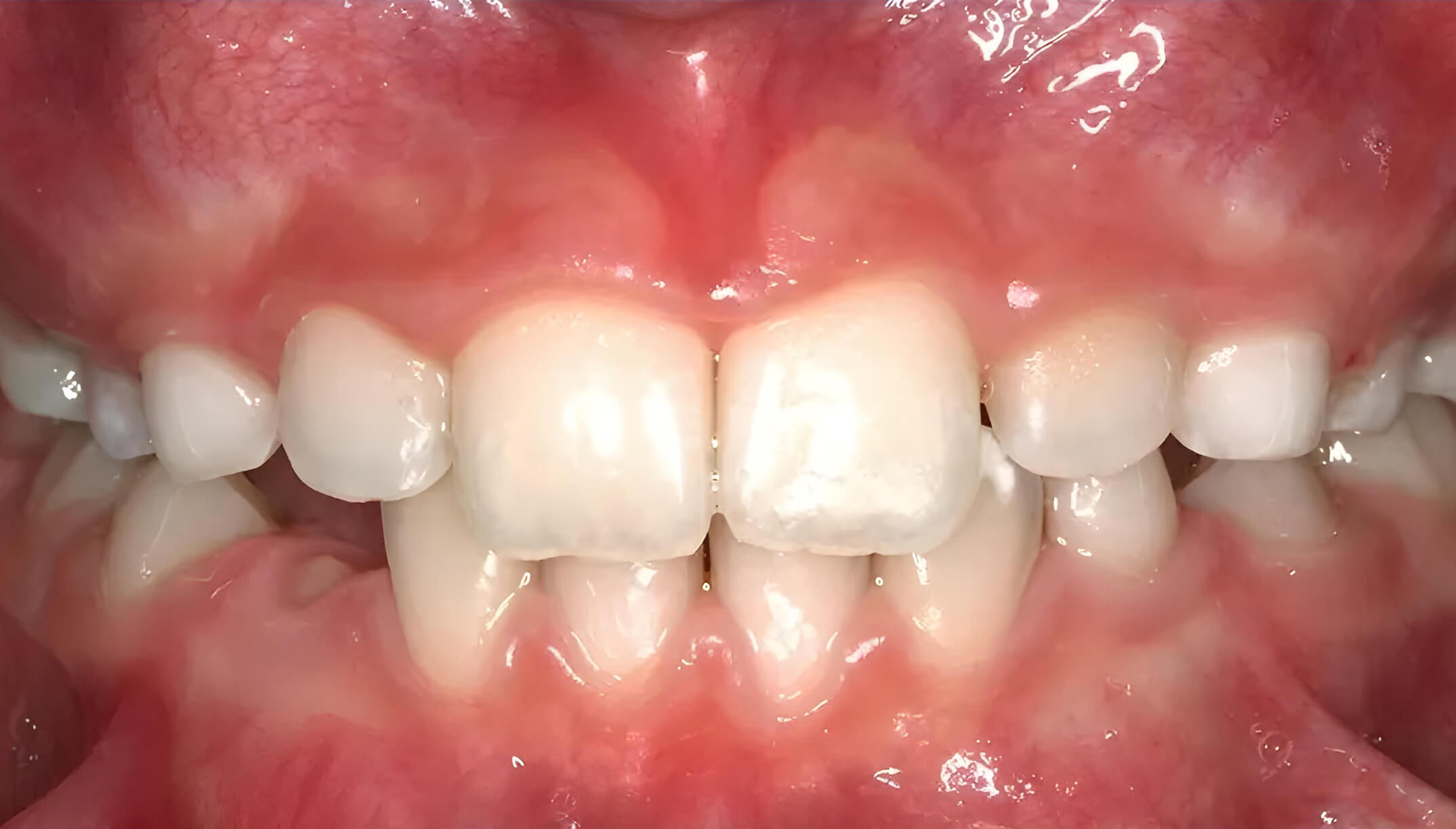
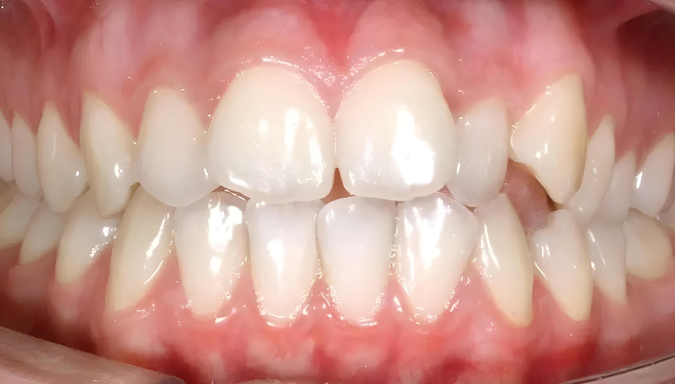
Before
After
Distal Bite #5
Treatment time: 18 months
Aligners: 35 upper / 28 lower


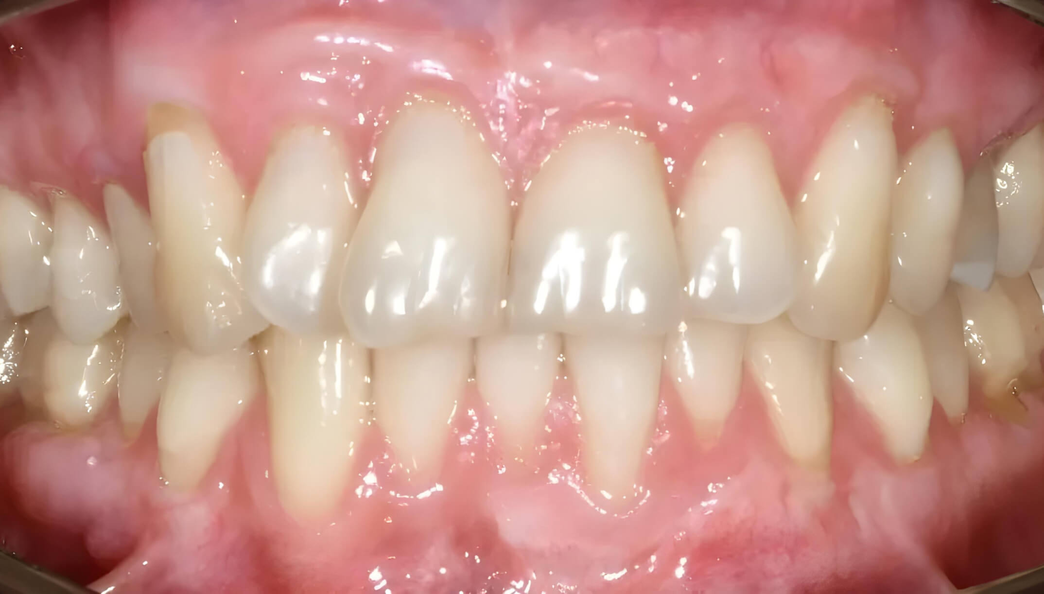
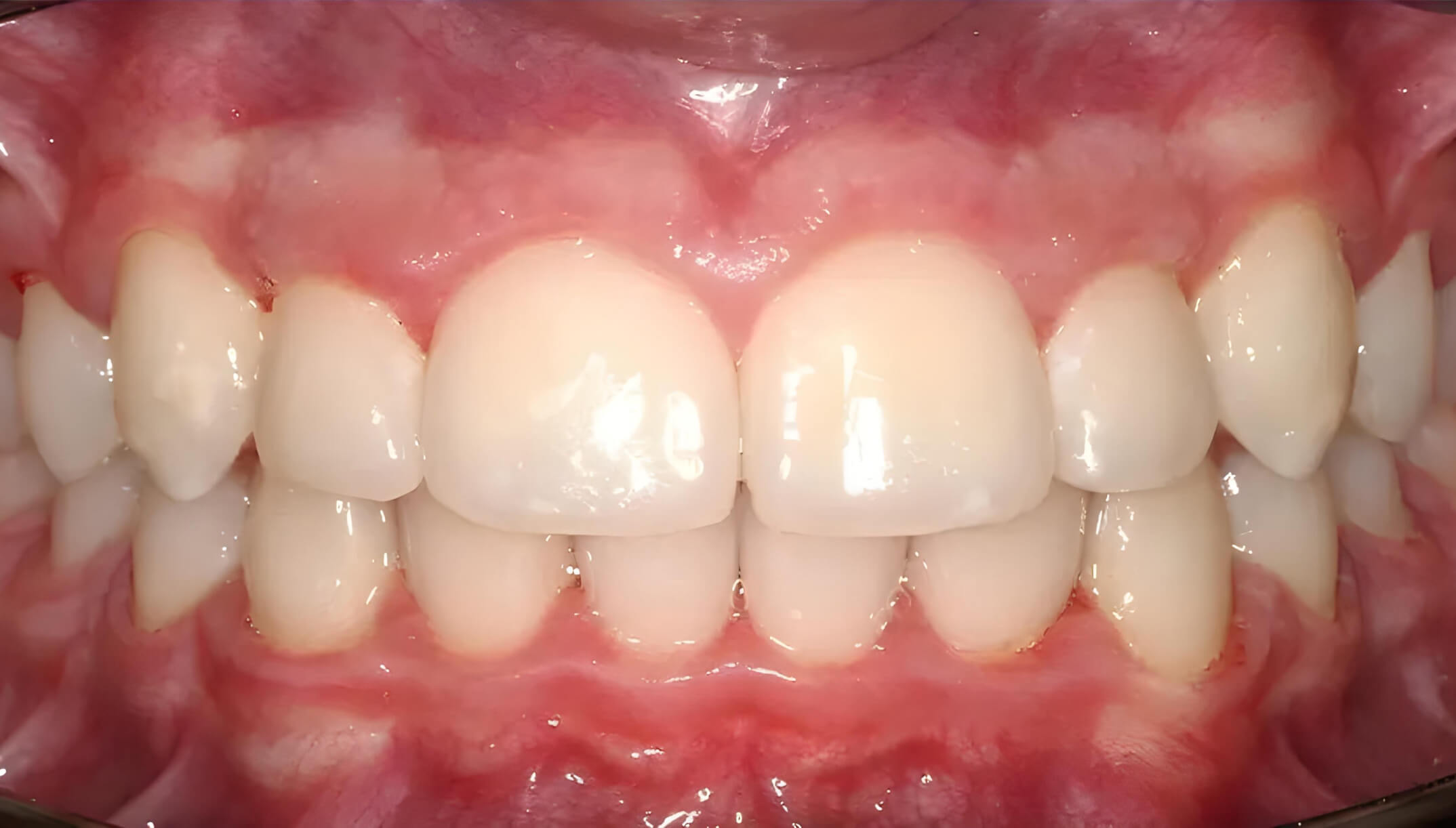
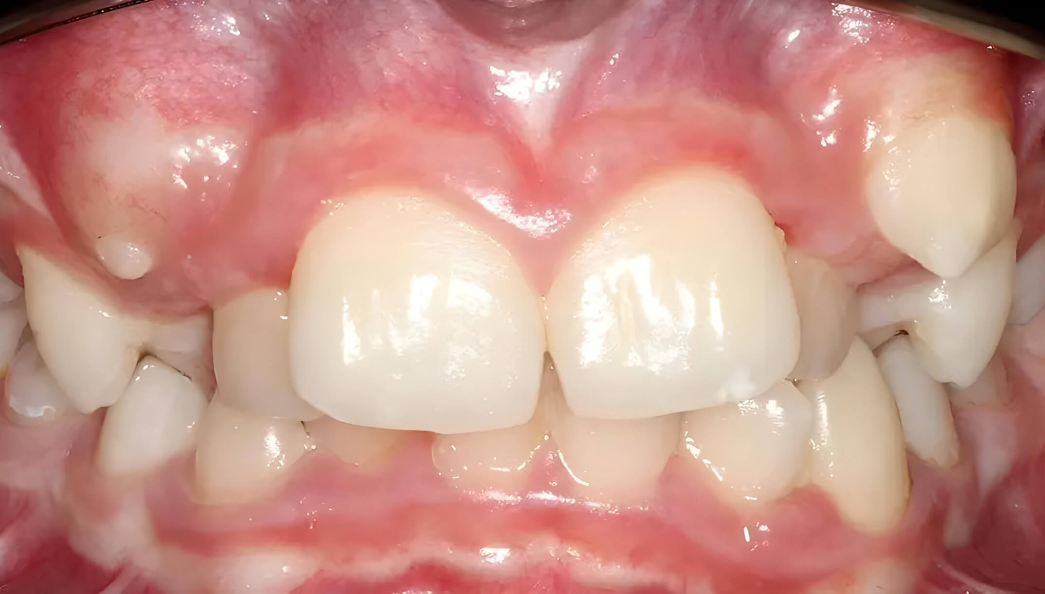
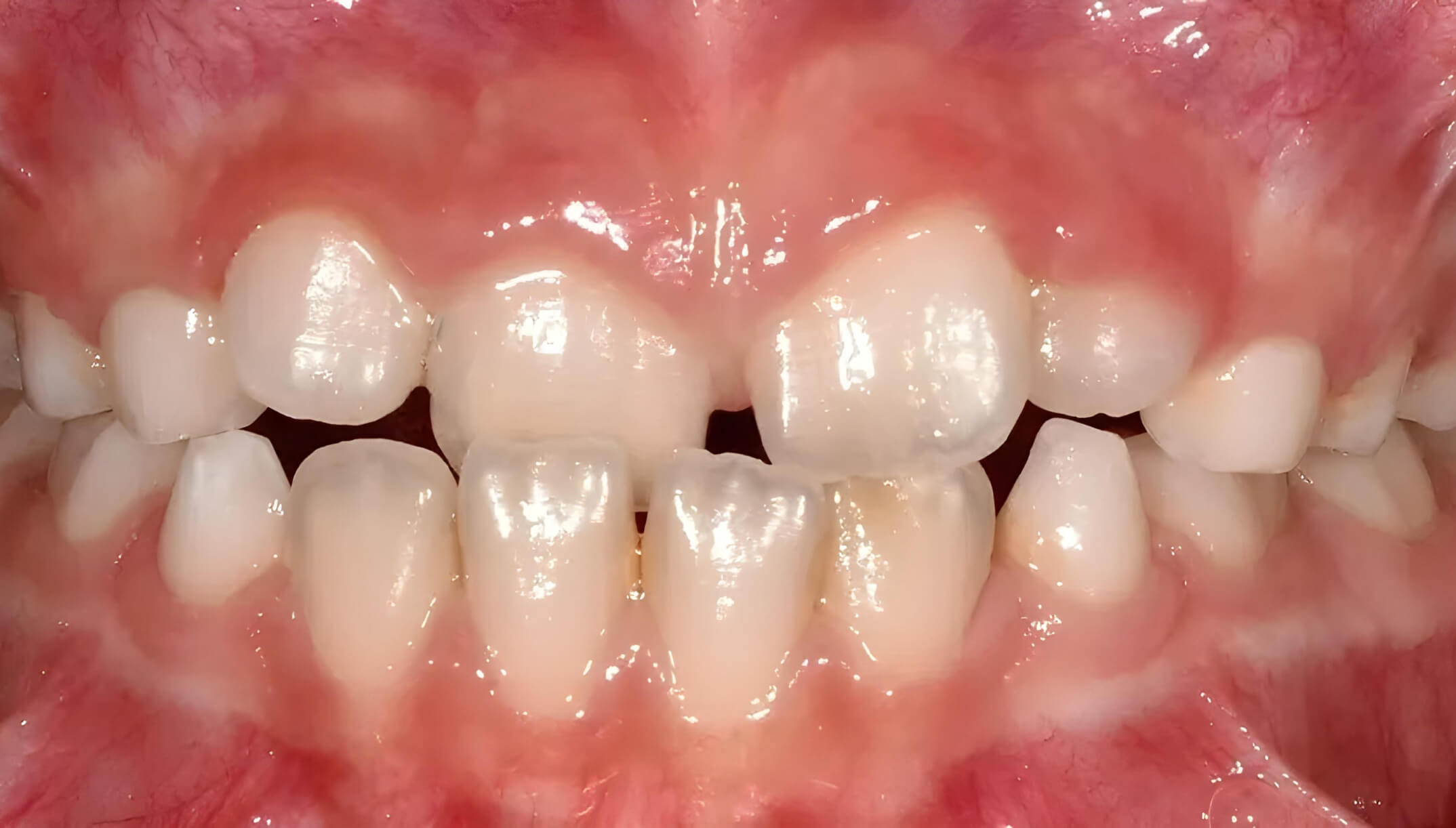
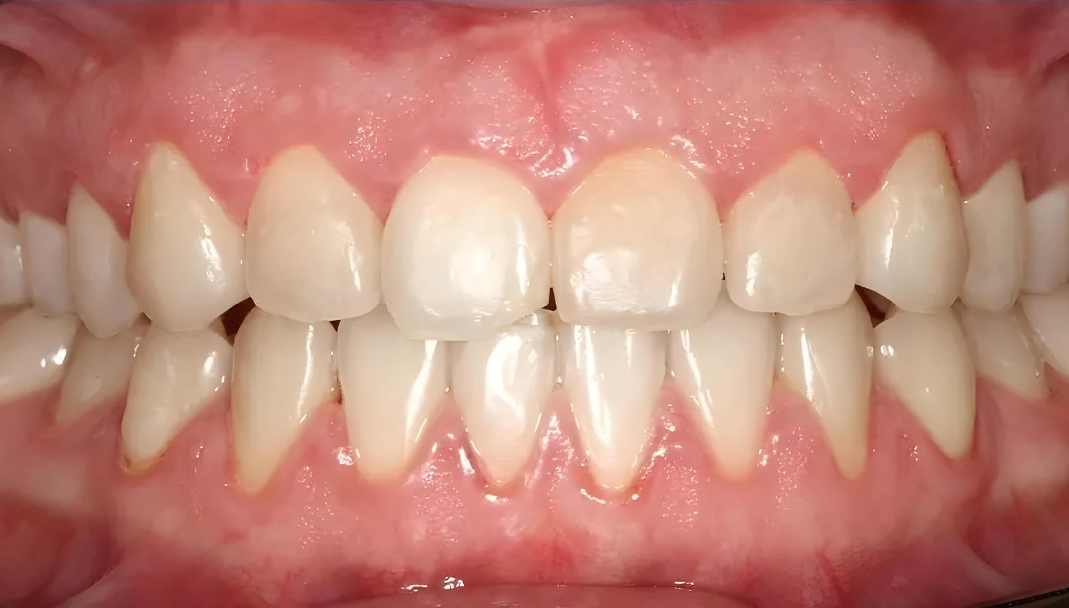
Before
After
Distal Bite #4
Treatment time: 10 months
Aligners: 20 upper / 20 lower


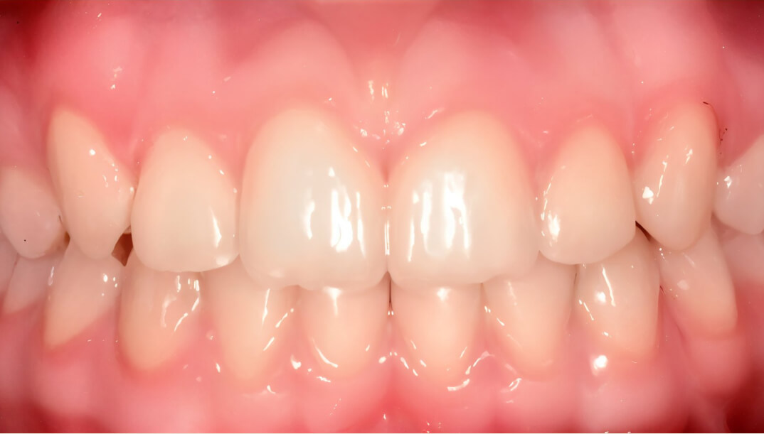
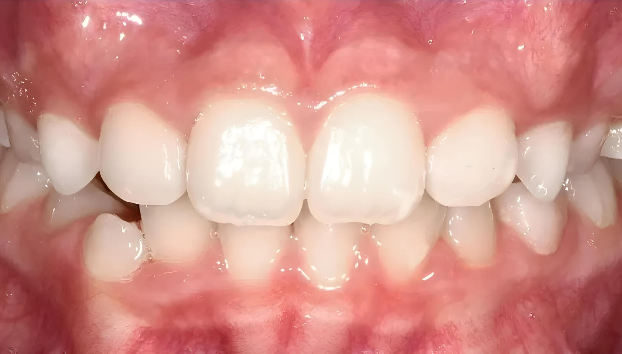
Before
After
Distal Bite #3
Treatment time: 10 months
Aligners: 19 upper / 19 lower


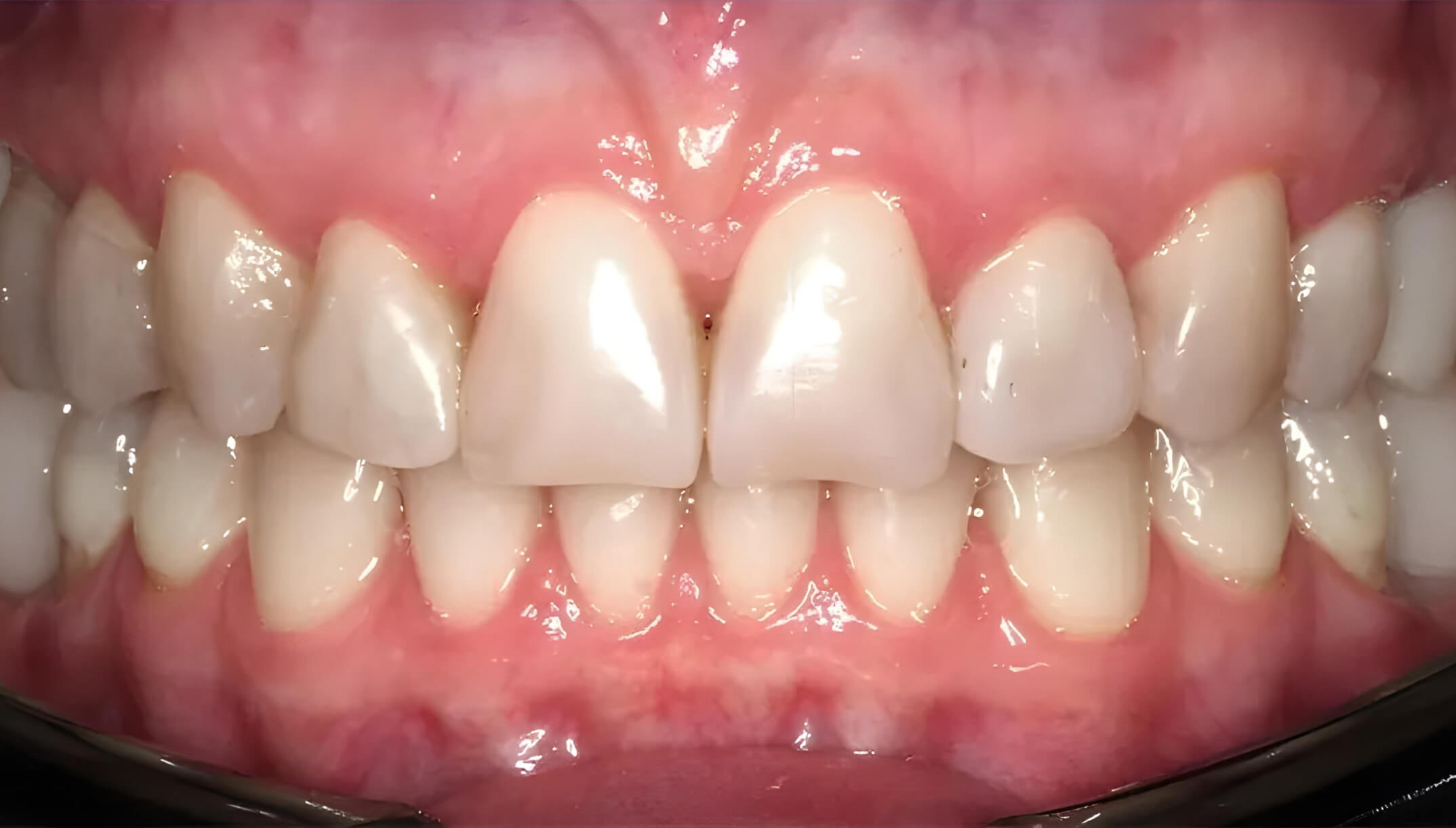
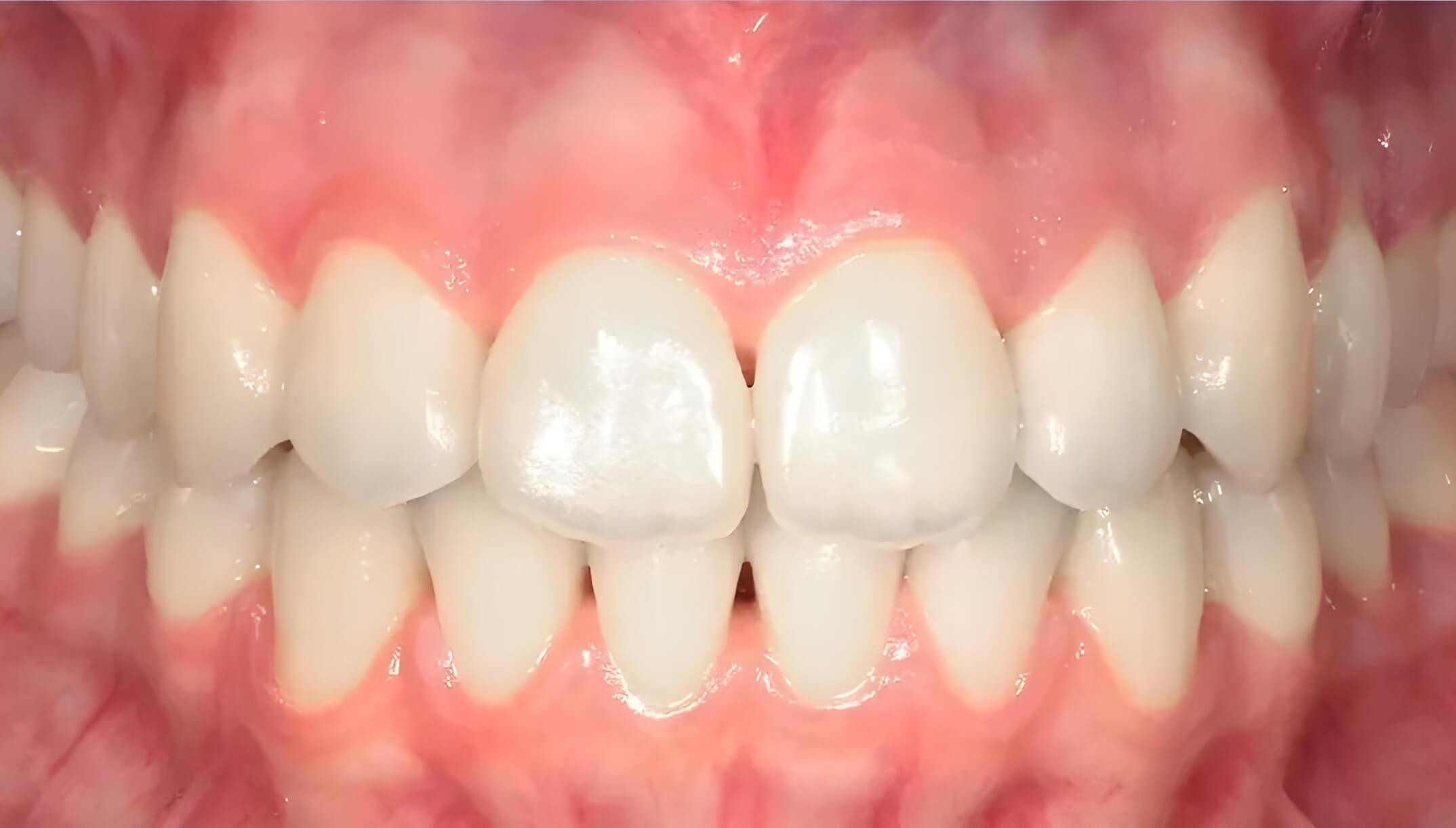
Before
After
Distal Bite #2
Treatment time: 15 months
Aligners: 24 upper / 34 lower


Before
After
Distal Bite #1
Treatment time: 18 months
Aligners: 35 upper / 23 lower


Before
After
Kids Cases #4
Treatment time: 3 months
Aligners: 6 upper / 6 lower


Before
After
Kids Cases #3
Treatment time: 18 months
Aligners: 36 upper / 36 lower


Before
After
Kids Cases #2
Treatment time: 8 months
Aligners: 16 upper / 12 lower


Before
After
Kids Cases #1
Treatment time: 4 months
Aligners: 8 upper / 8 lower


Before
After
Open Bite #7
Treatment time: 15 months
Aligners: 30 upper / 30 lower


Before
After
Open Bite #6
Treatment time: 10 months
Aligners: 16 upper / 20 lower


Before
After
Open Bite #5
Treatment time: 13 months
Aligners: 25 upper / 25 lower
...
