

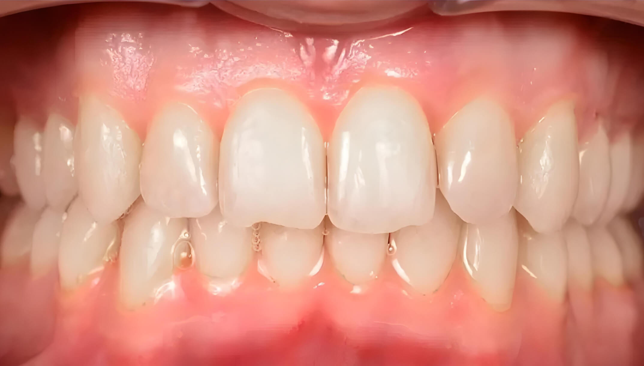
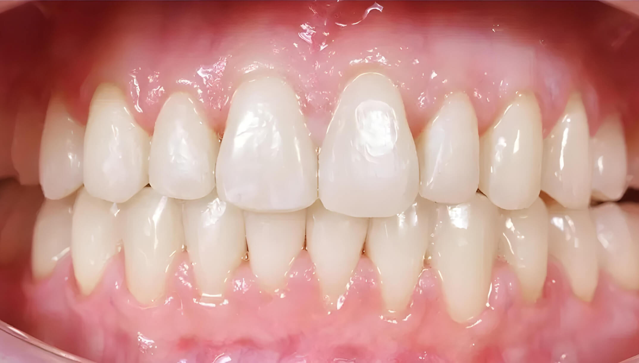
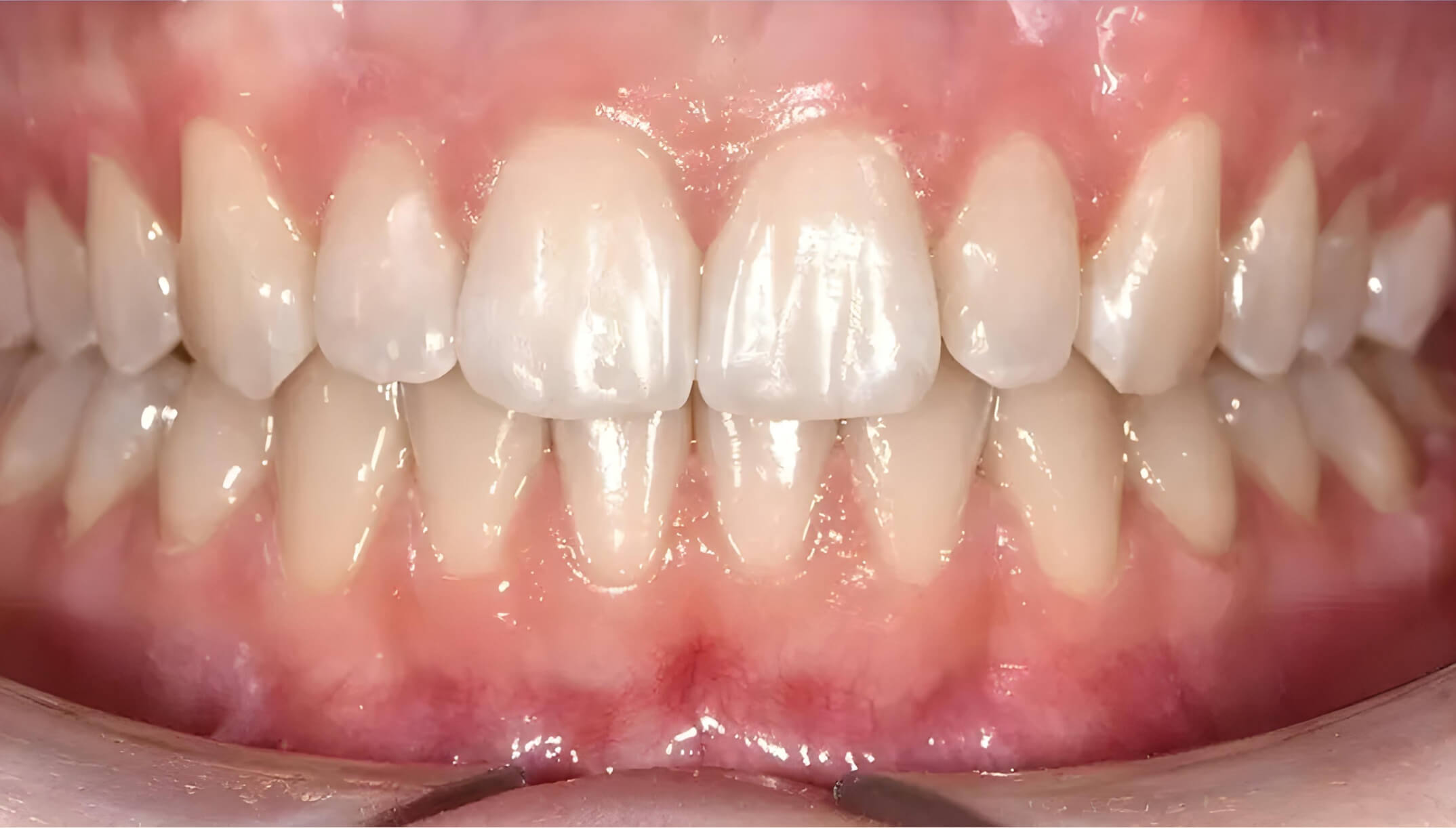
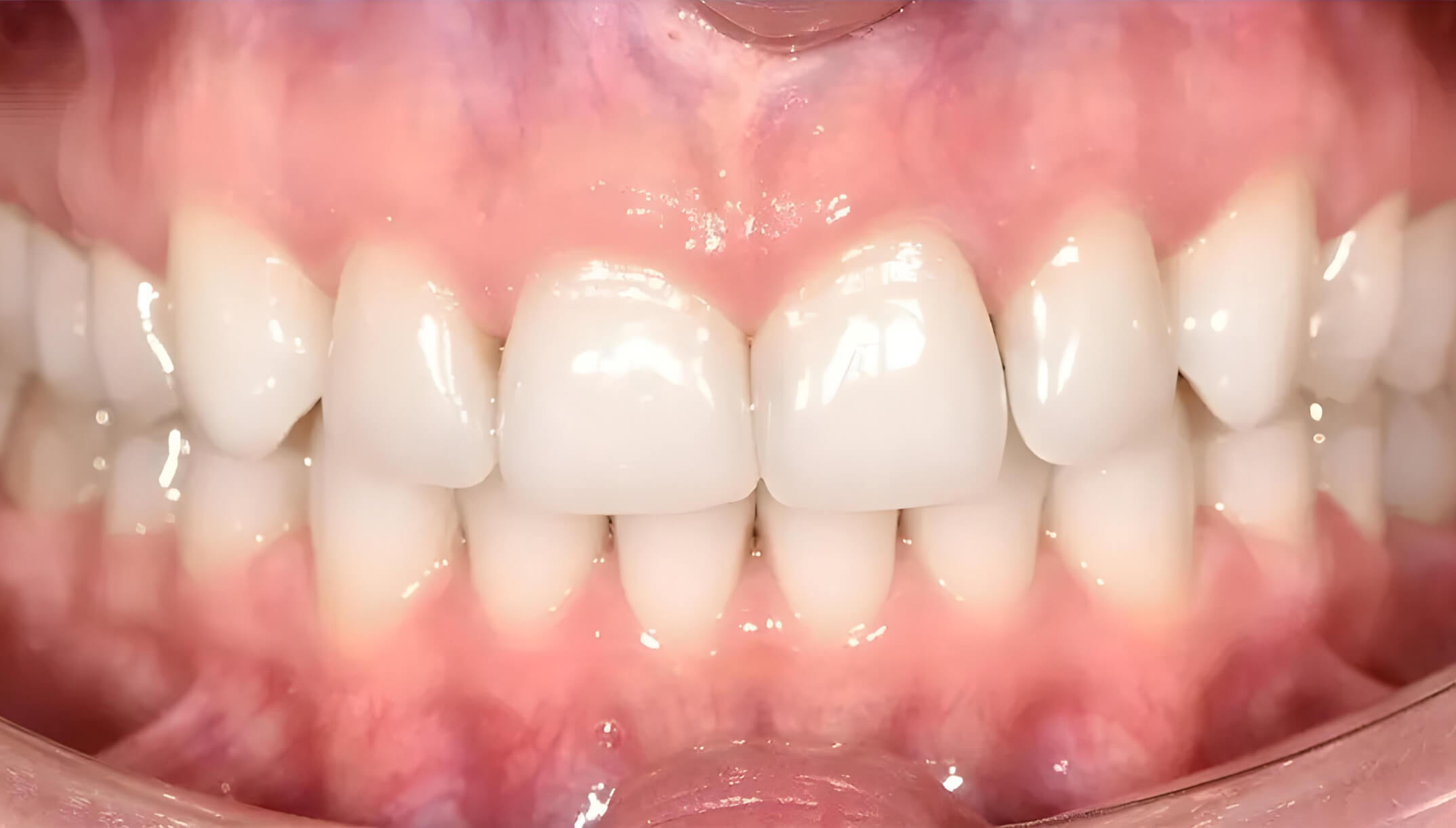
Before
After
Distal Bite #17
Treatment time: 13 months
Aligners: 26 upper / 26 lower


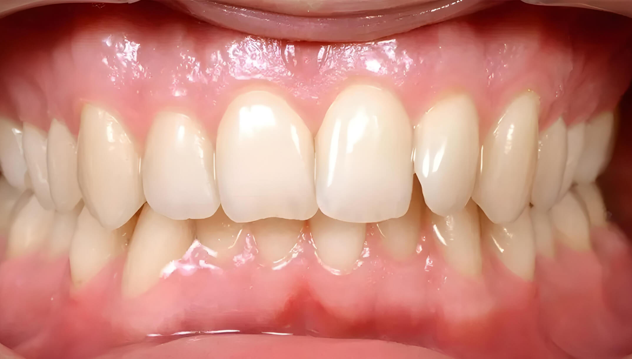
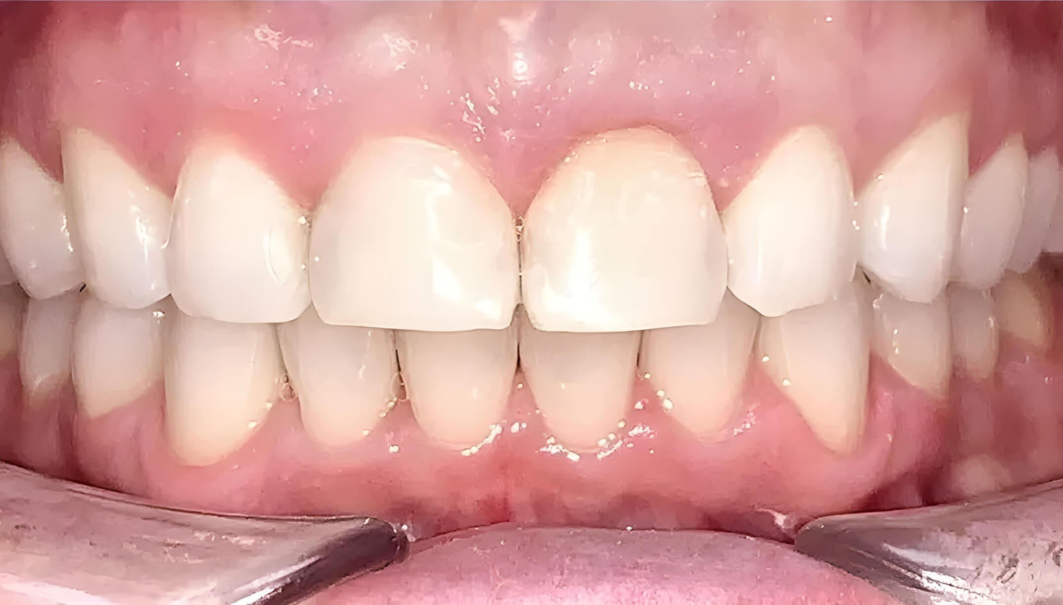
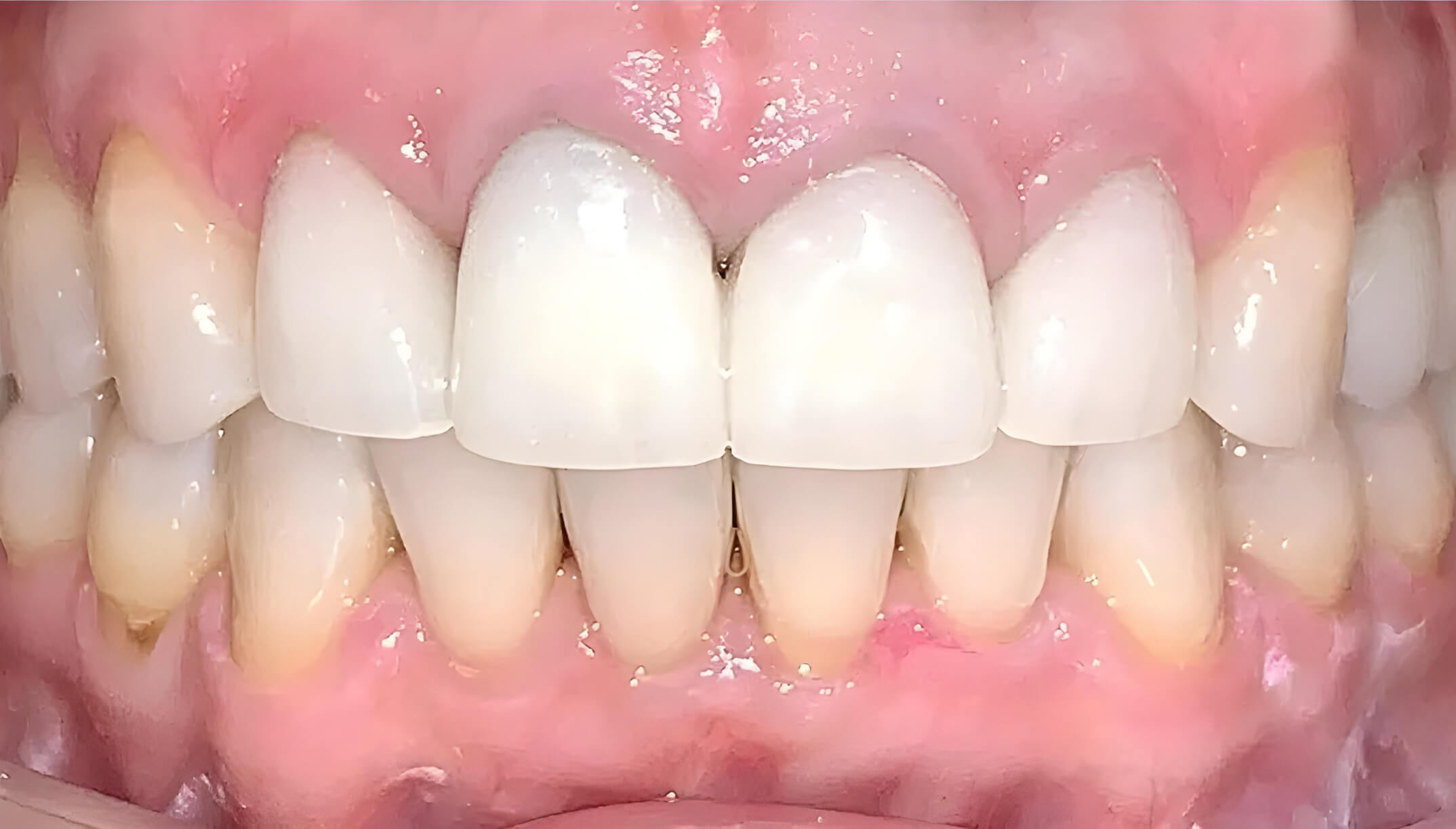
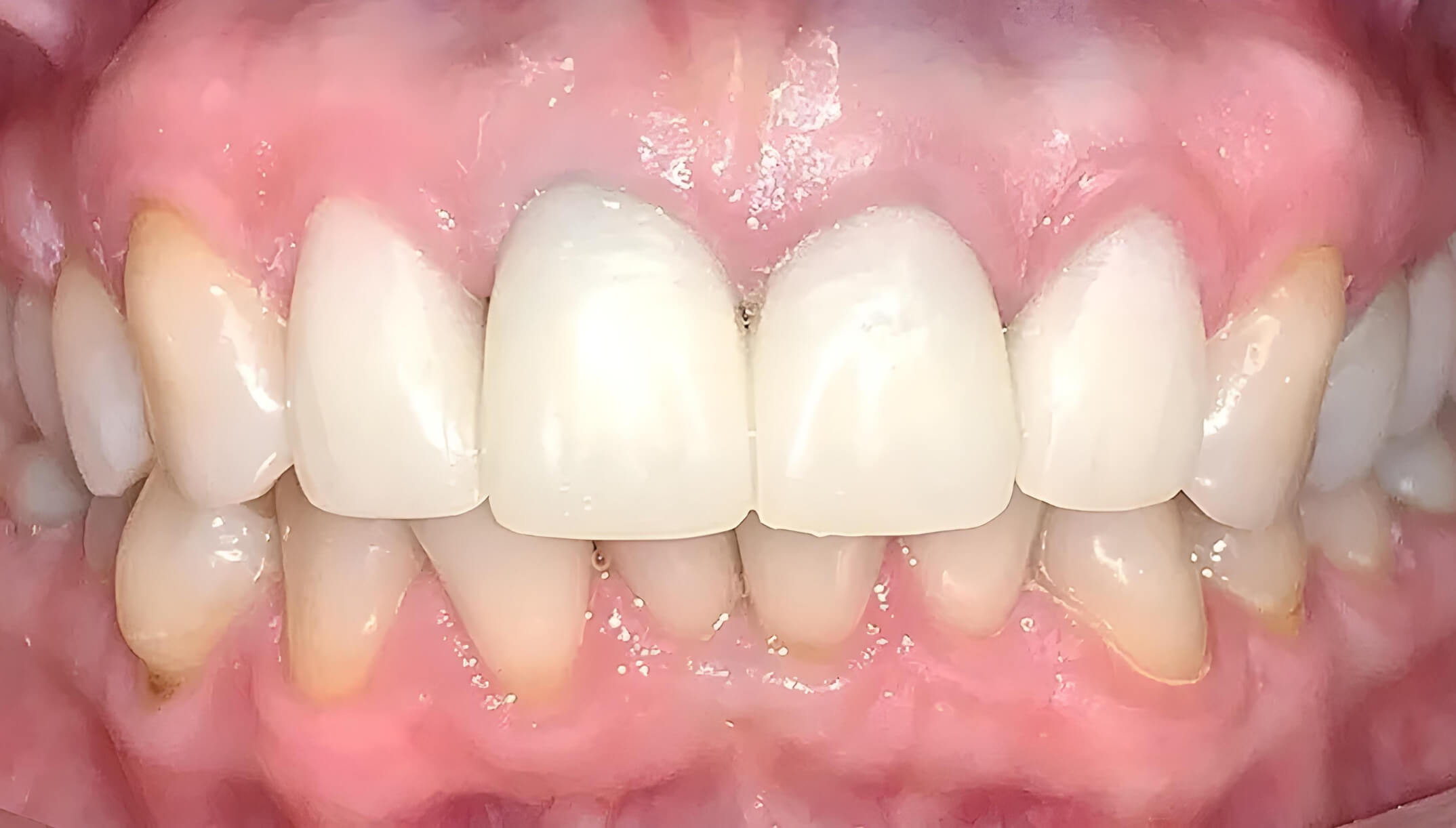
Before
After
Distal Bite #16
Treatment time: 18 months
Aligners: 35 upper / 35 lower


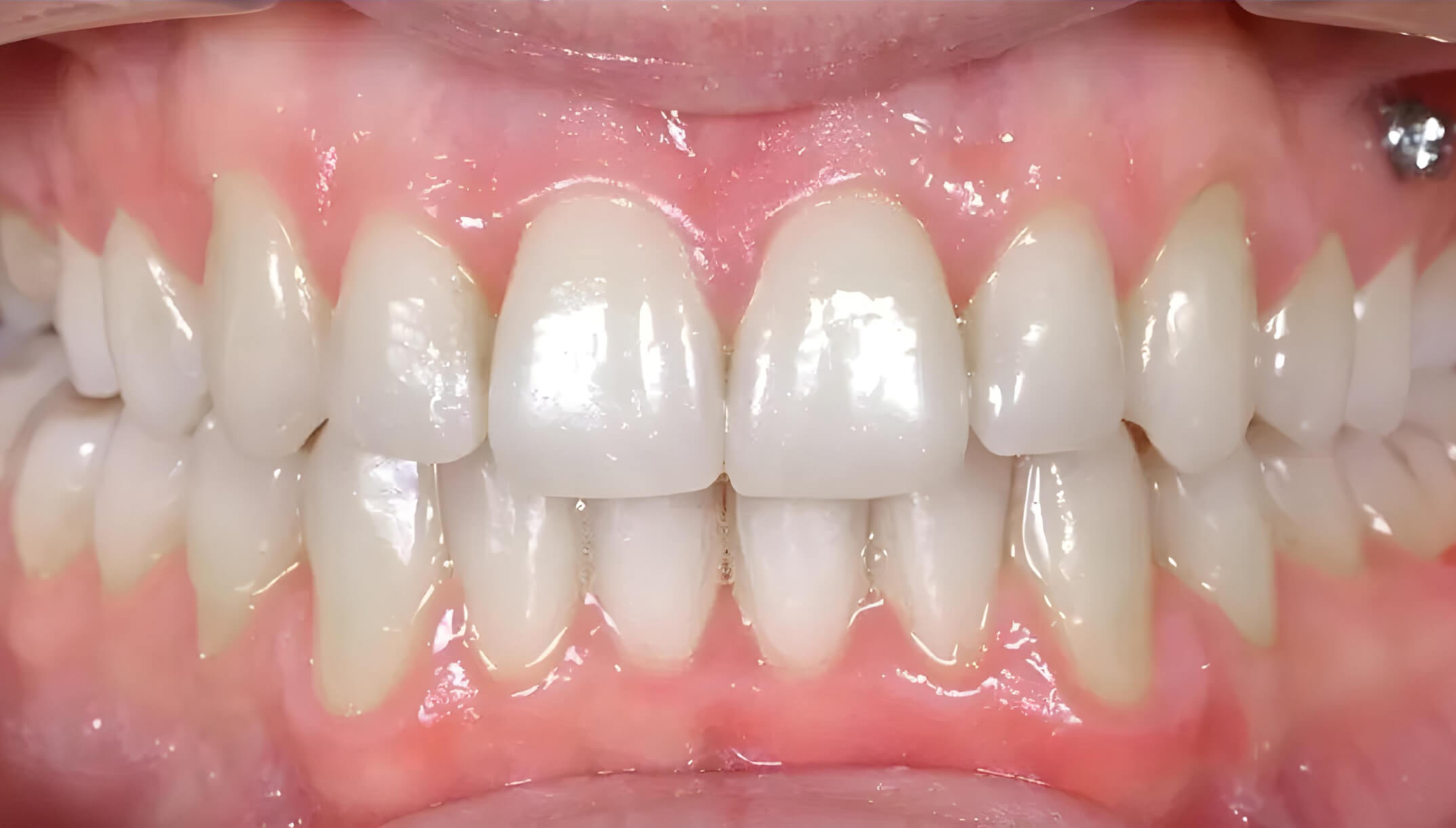
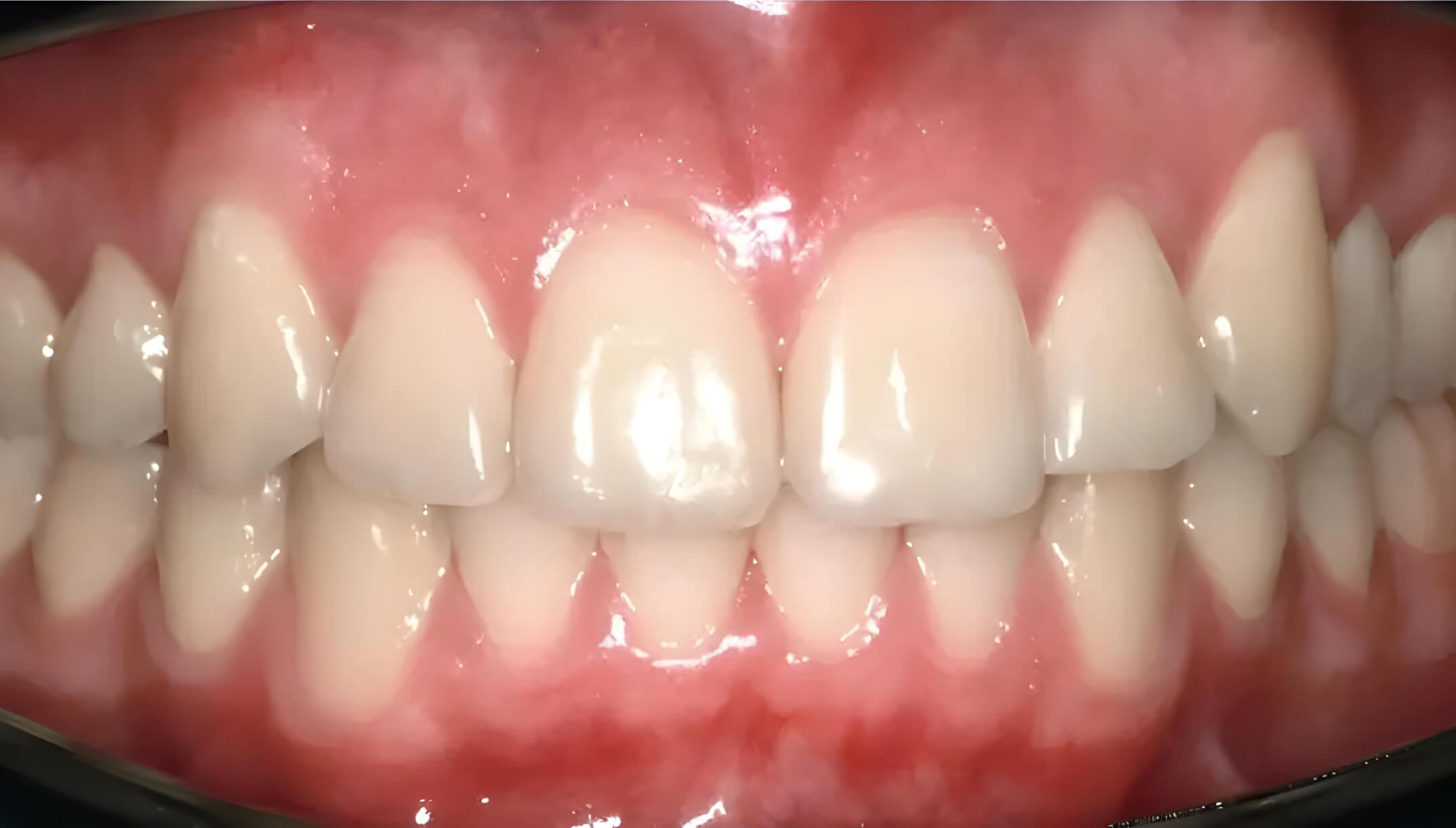
Before
After
Distal Bite #15
Treatment time: 18 months
Aligners: 35 upper / 25 lower


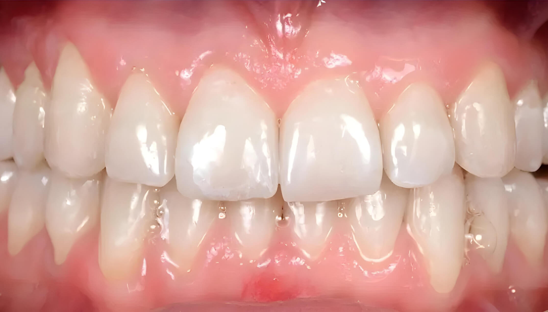
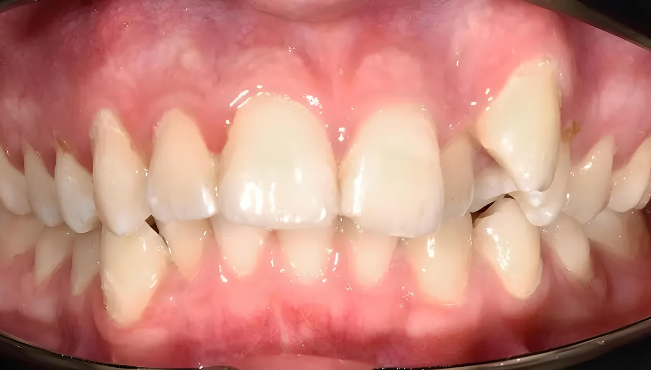
Before
After
Distal Bite #14
Treatment time: 13 months
Aligners: 18 upper / 26 lower


Before
After
Distal Bite #13
Treatment time: 16 months
Aligners: 24 upper / 31 lower


Before
After
Distal Bite #12
Treatment time: 12 months
Aligners: 24 upper / 24 lower


Before
After
Distal Bite #11
Treatment time: 20 months
Aligners: 40 upper / 20 lower


Before
After
Distal Bite #10
Treatment time: 16 months
Aligners: 31 upper / 31 lower


Before
After
Distal Bite #9
Treatment time: 16 months
Aligners: 32 upper / 11 lower


Before
After
Distal Bite #8
Treatment time: 18 months
Aligners: 20 upper / 35 lower


Before
After
Distal Bite #7
Treatment time: 19 months
Aligners: 24 upper / 37 lower


Before
After
Distal Bite #6
Treatment time: 15 months
Aligners: 30 upper / 30 lower
......
