

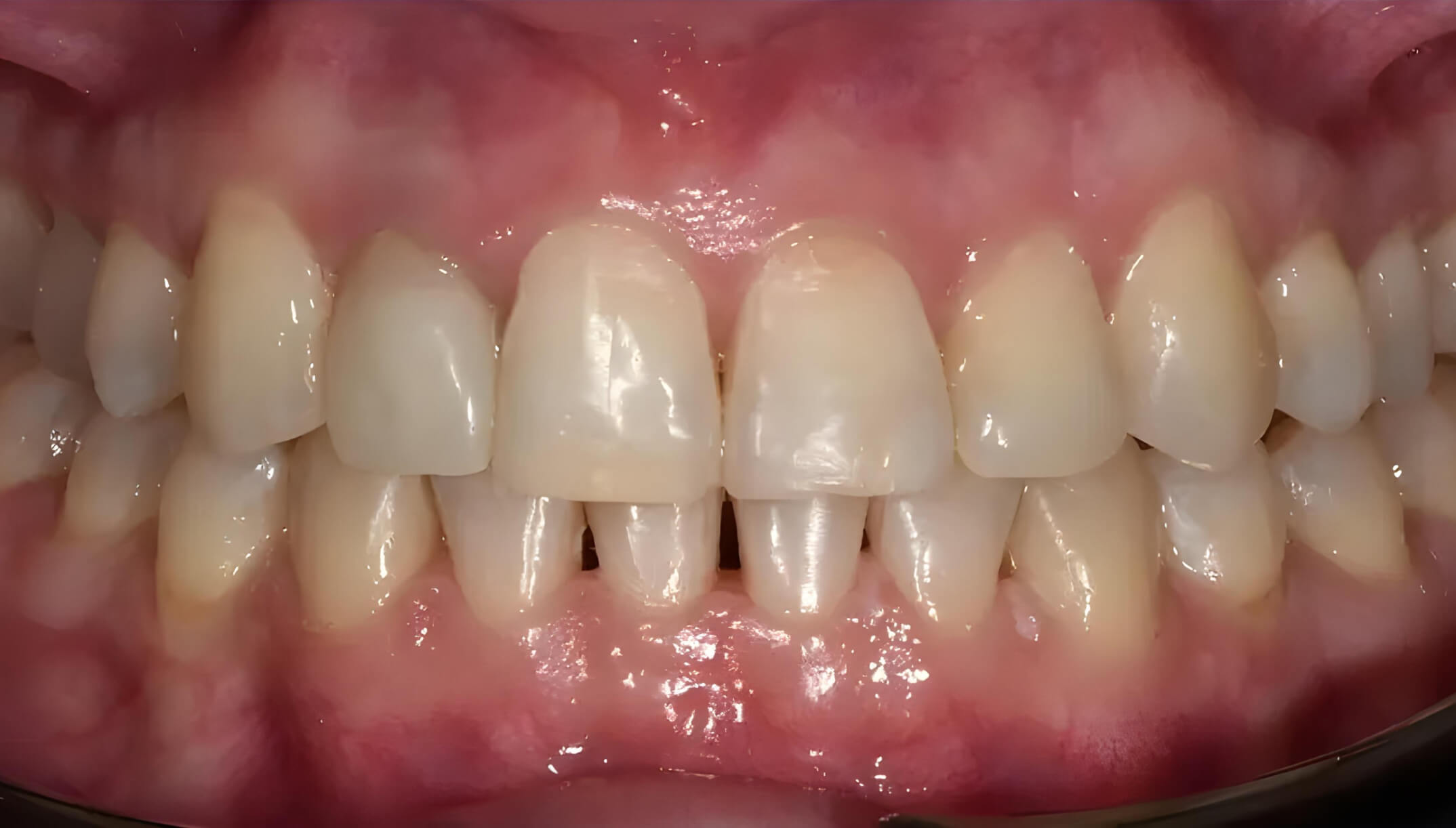
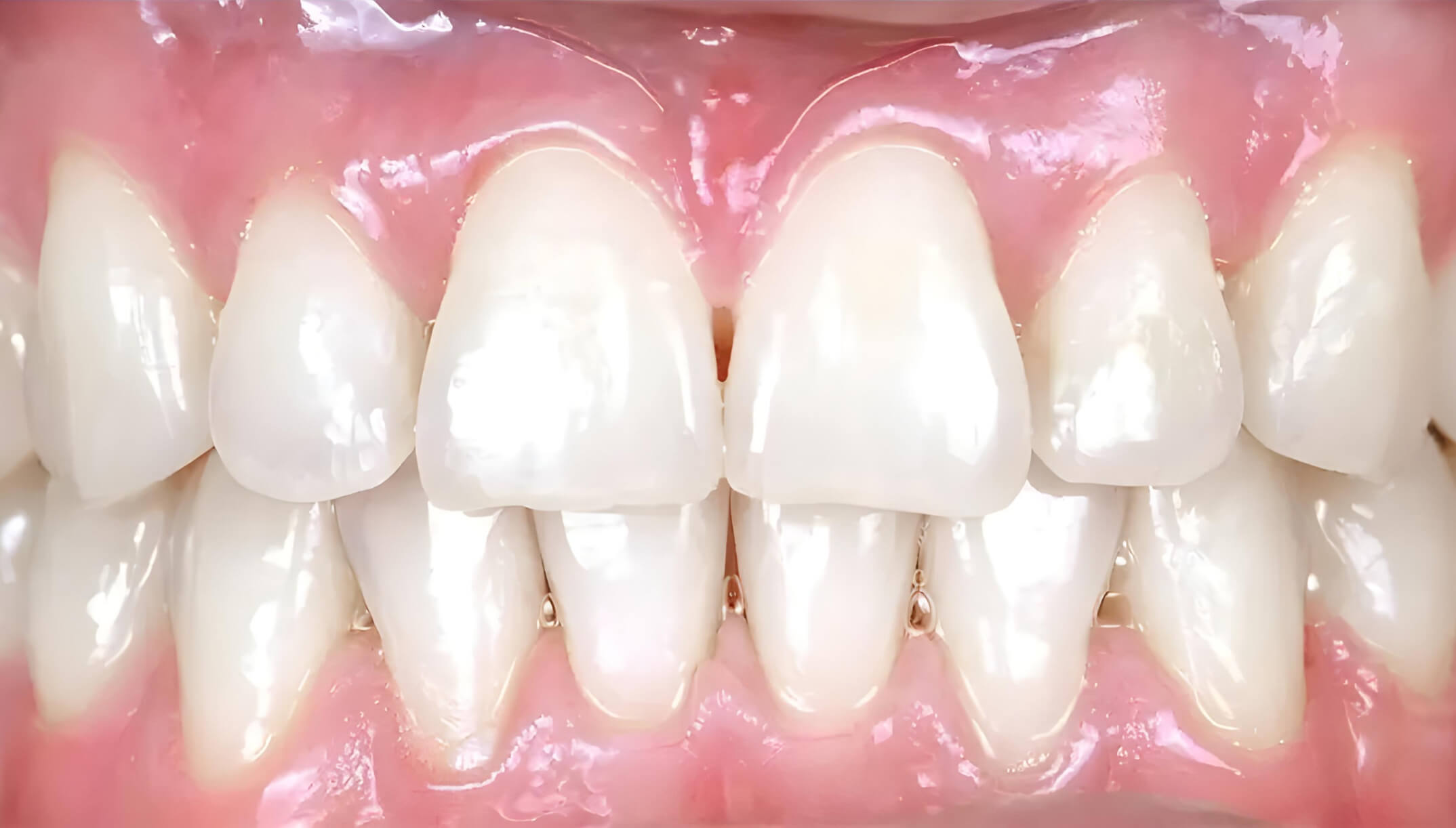
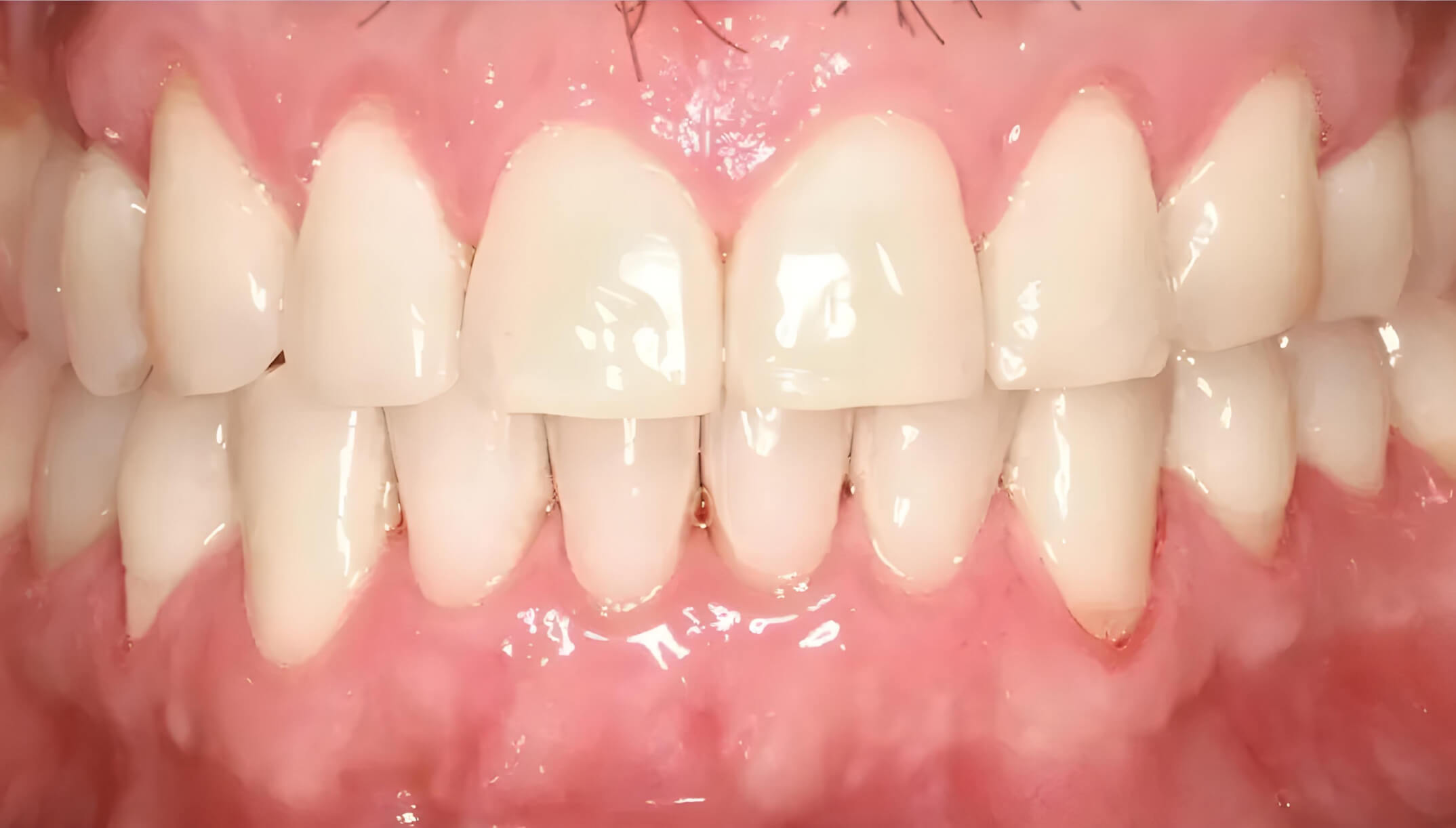
Before
After
Crossbite #4
Treatment time: 12 months
Aligners: 23 upper / 23 lower


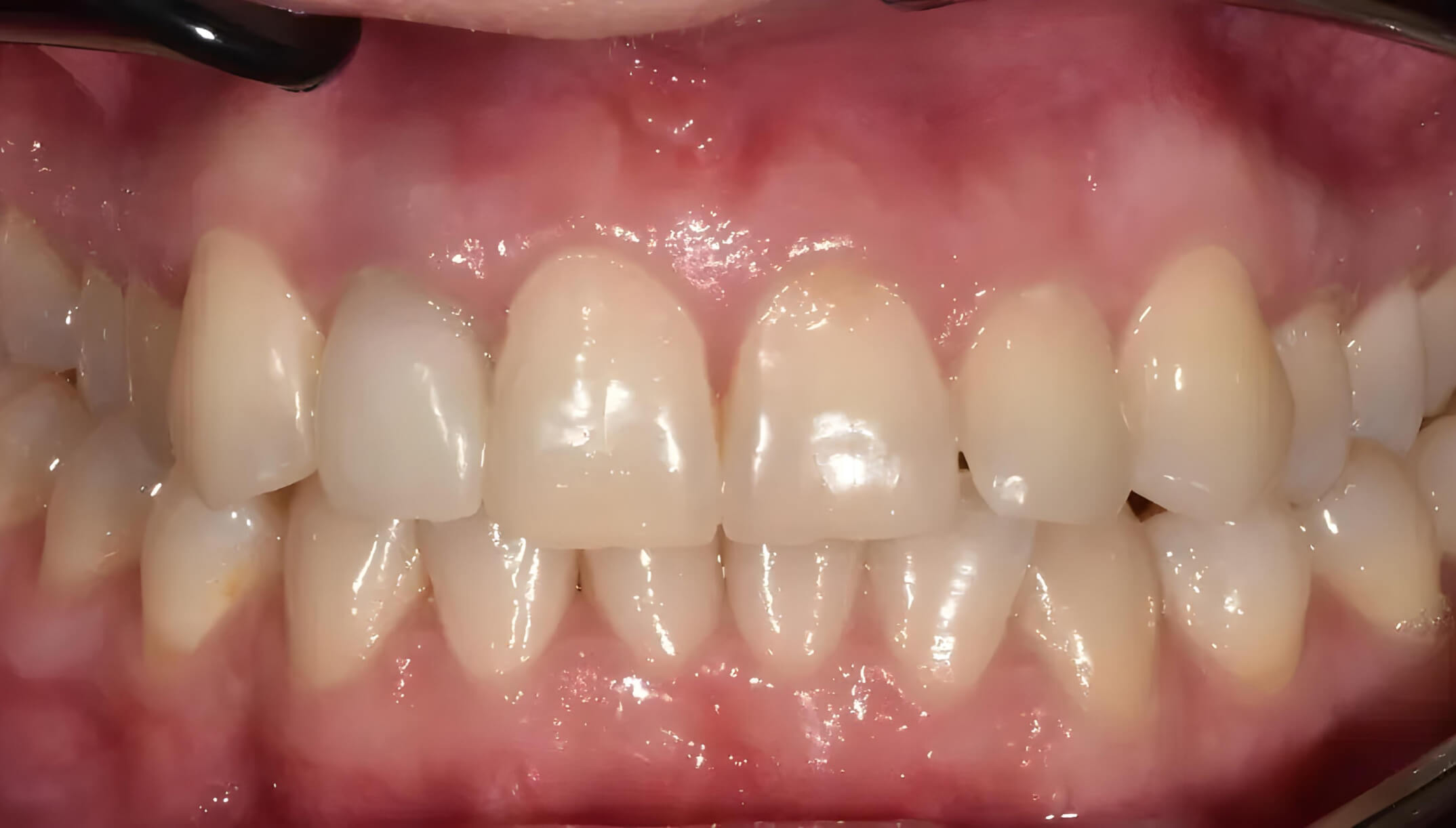
Before
After
Crossbite #3
Treatment time: 10 months
Aligners: 19 upper / 10 lower


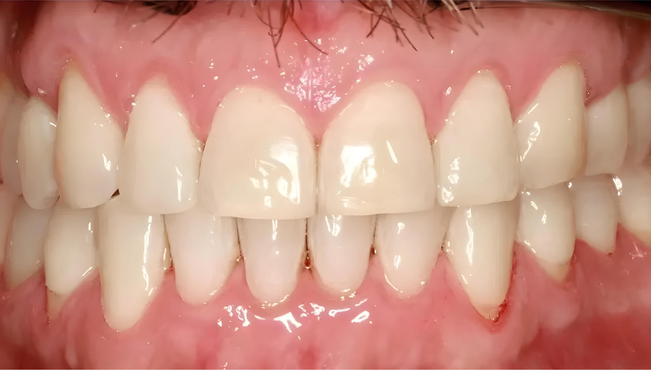
Before
After
Crossbite #2
Treatment time: 18 months
Aligners: 35 upper / 20 lower


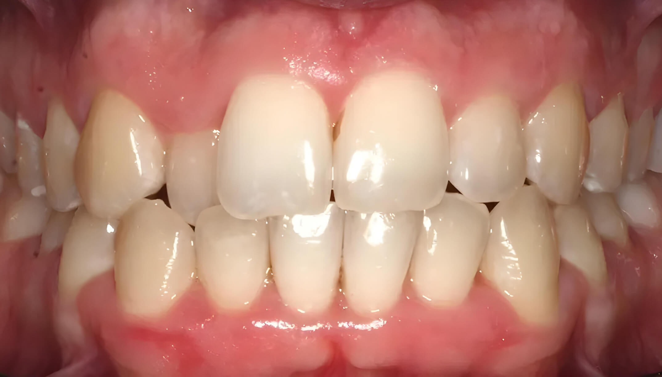
Before
After
Crossbite #1
Treatment time: 7 months
Aligners: 20 upper / 13 lower


Before
After
Mesial Bite #8
Treatment time: 10 months
Aligners: 19 upper / 19 lower


Before
After
Mesial Bite #7
Treatment time: 12 months
Aligners: 23 upper / 20 lower


Before
After
Mesial Bite #6
Treatment time: 15 months
Aligners: 30 upper / 30 lower


Before
After
Mesial Bite #5
Treatment time: 11 months
Aligners: 21 upper / 21 lower


Before
After
Mesial Bite #4
Treatment time: 11 months
Aligners: 22 upper / 22 lower


Before
After
Mesial Bite #3
Treatment time: 16 months
Aligners: 32 upper / 32 lower


Before
After
Mesial Bite #2
Treatment time: 16 months
Aligners: 32 upper / 32 lower


Before
After
Mesial Bite #1
Treatment time: 18 months
Aligners: 35 upper / 20 lower
......
