

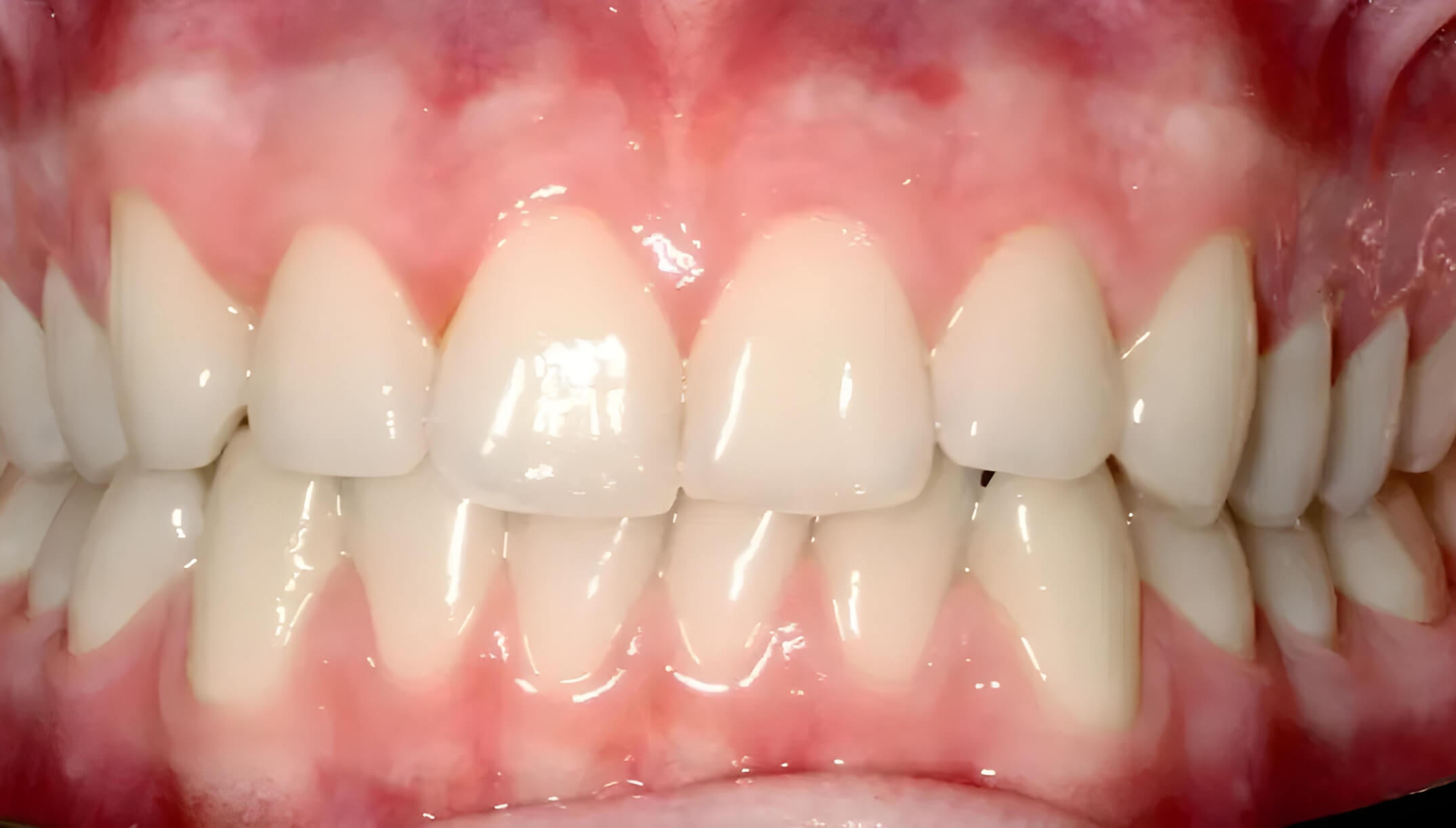
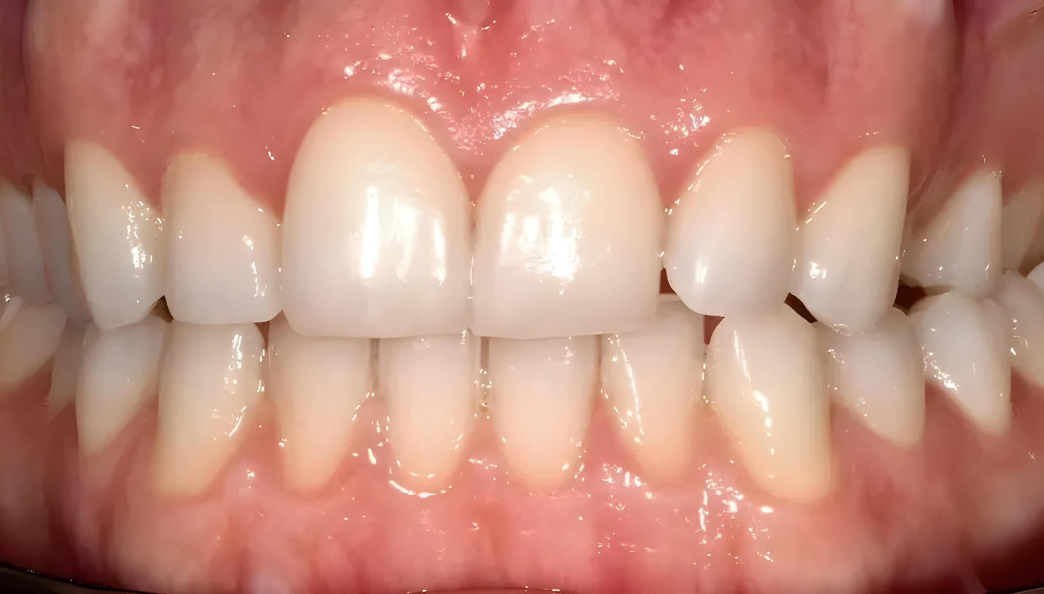
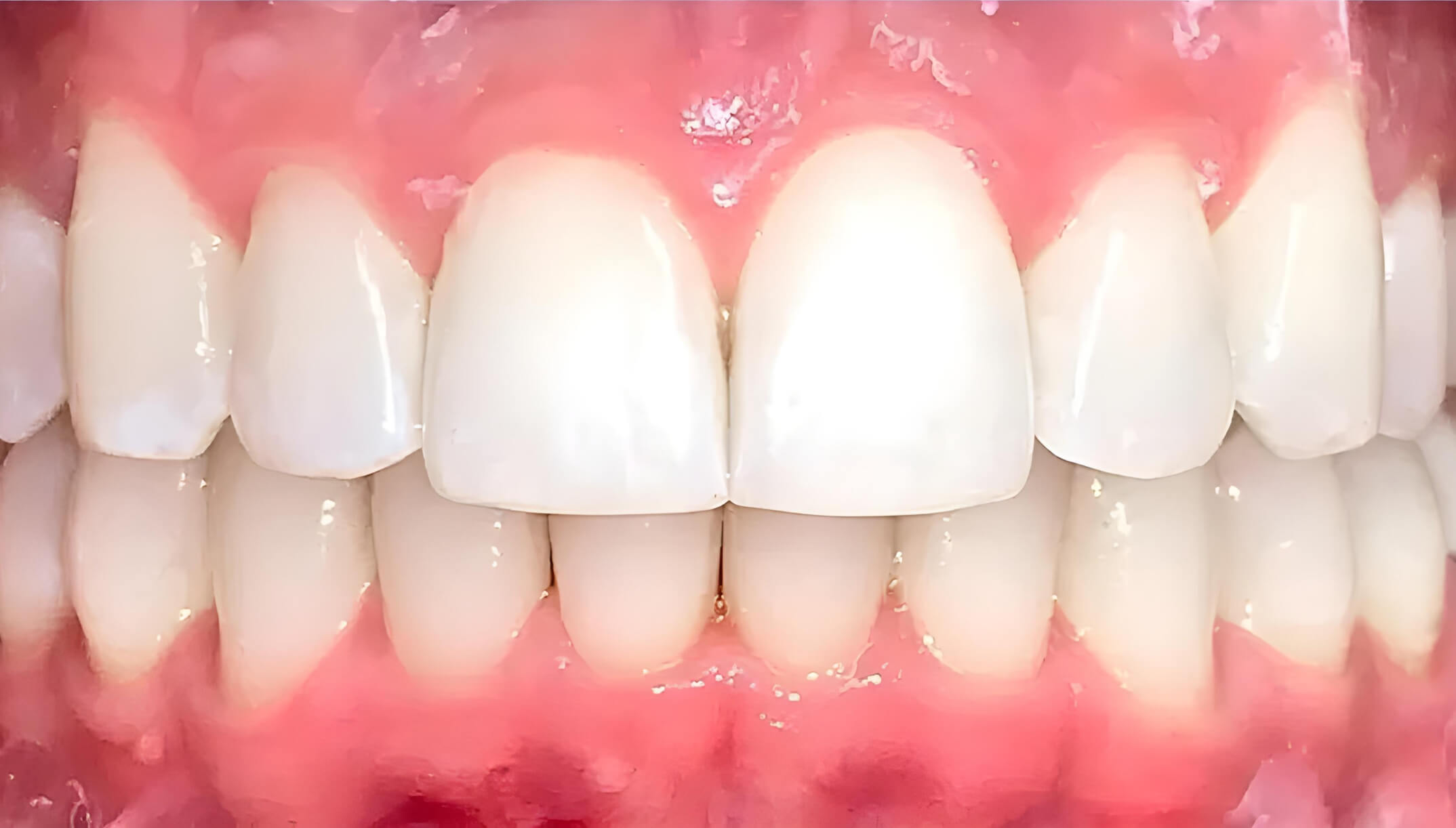
Before
After
Crowding #3
Treatment time: 8 months
Aligners: 16 upper / 16 lower


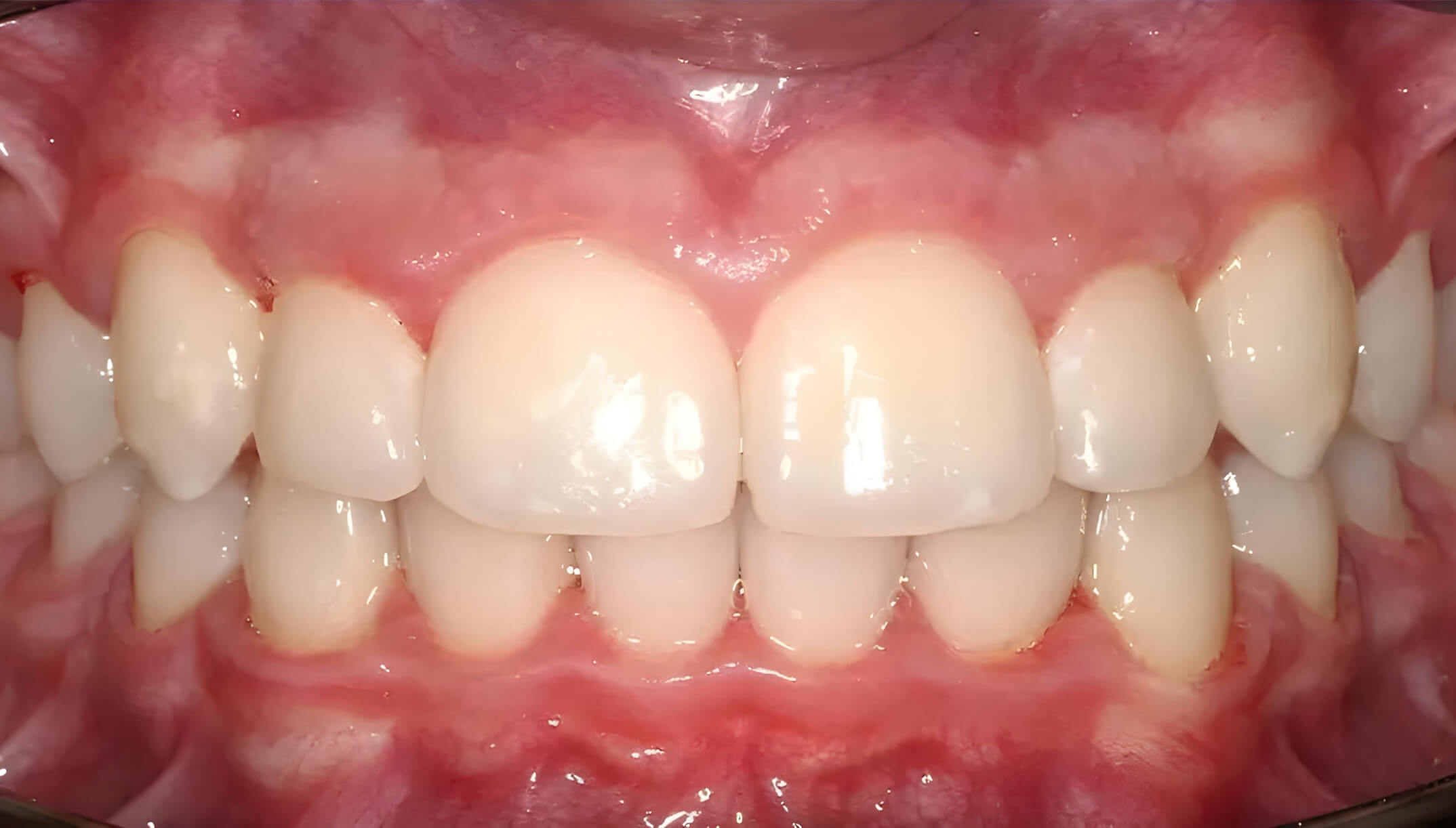
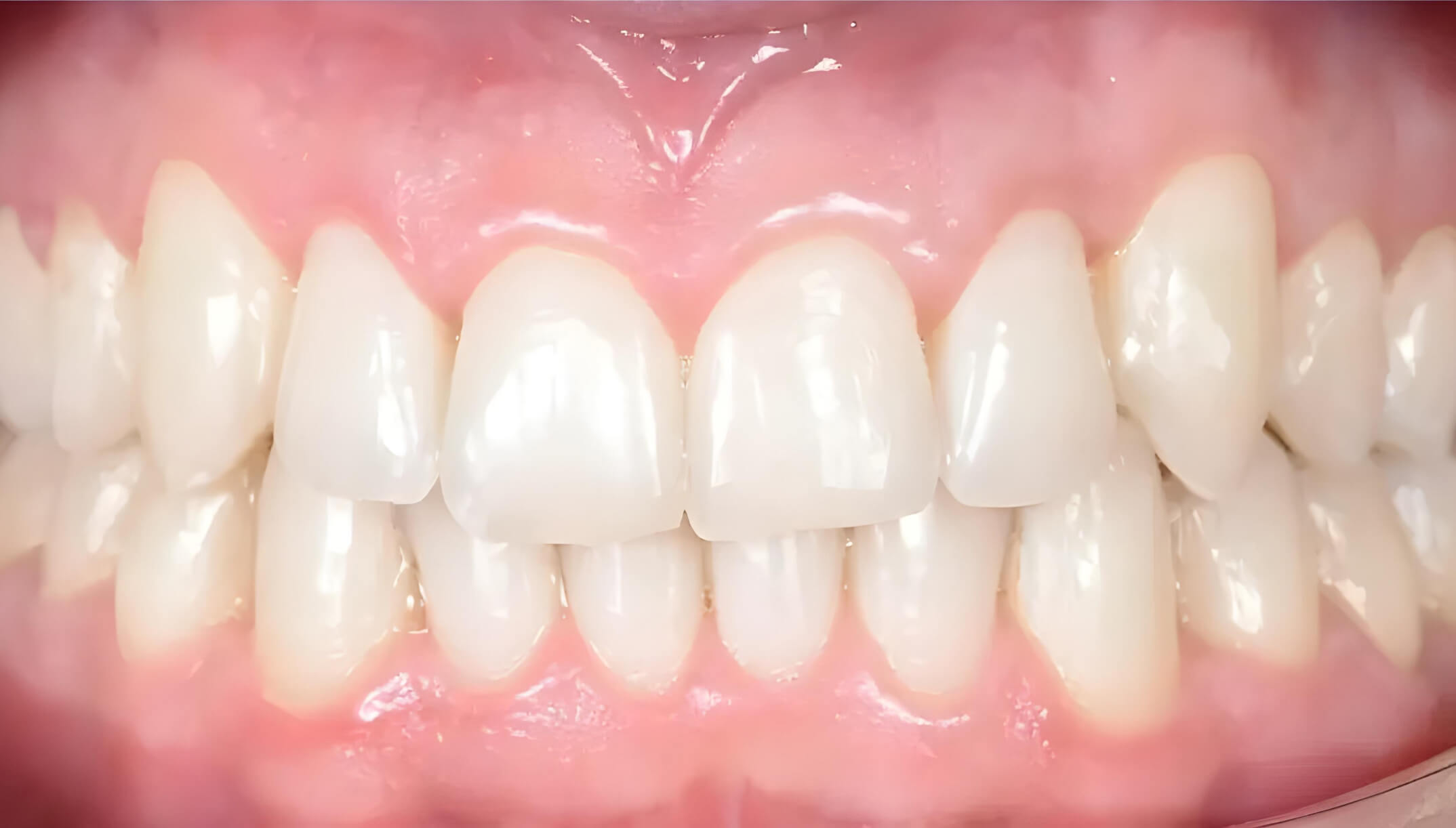
Before
After
Crowding #2
Treatment time: 18 months
Aligners: 36 upper / 36 lower


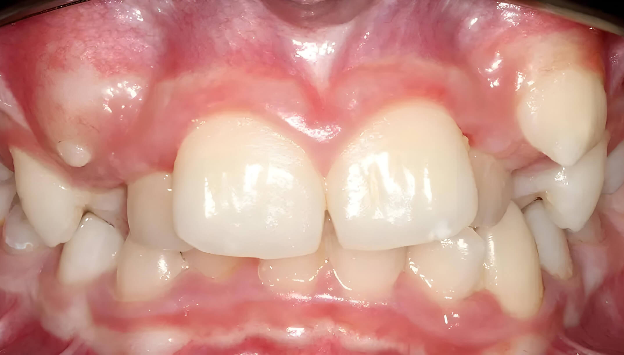
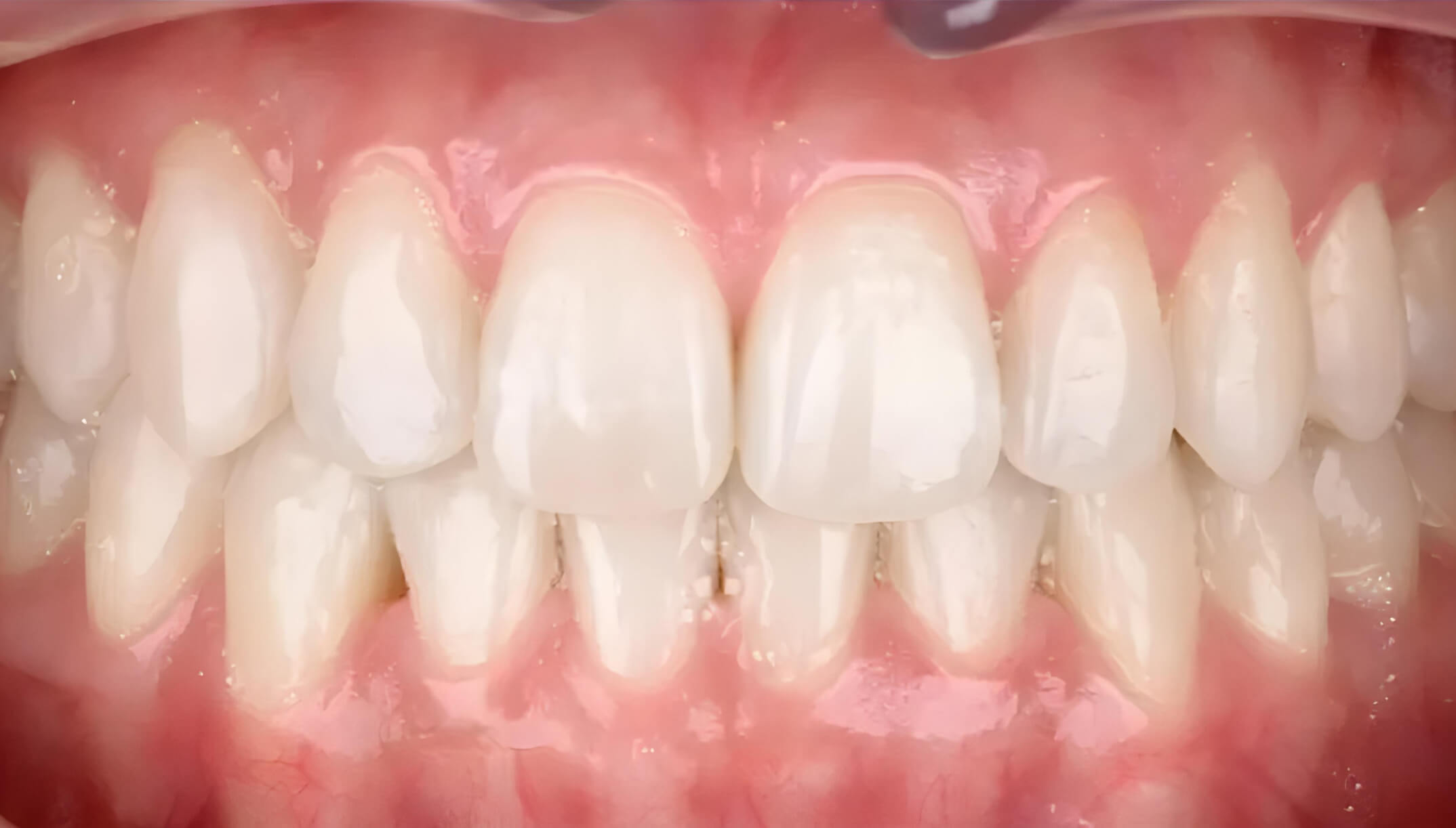
Before
After
Crossbite #14
Treatment time: 19 months
Aligners: 21 upper / 37 lower


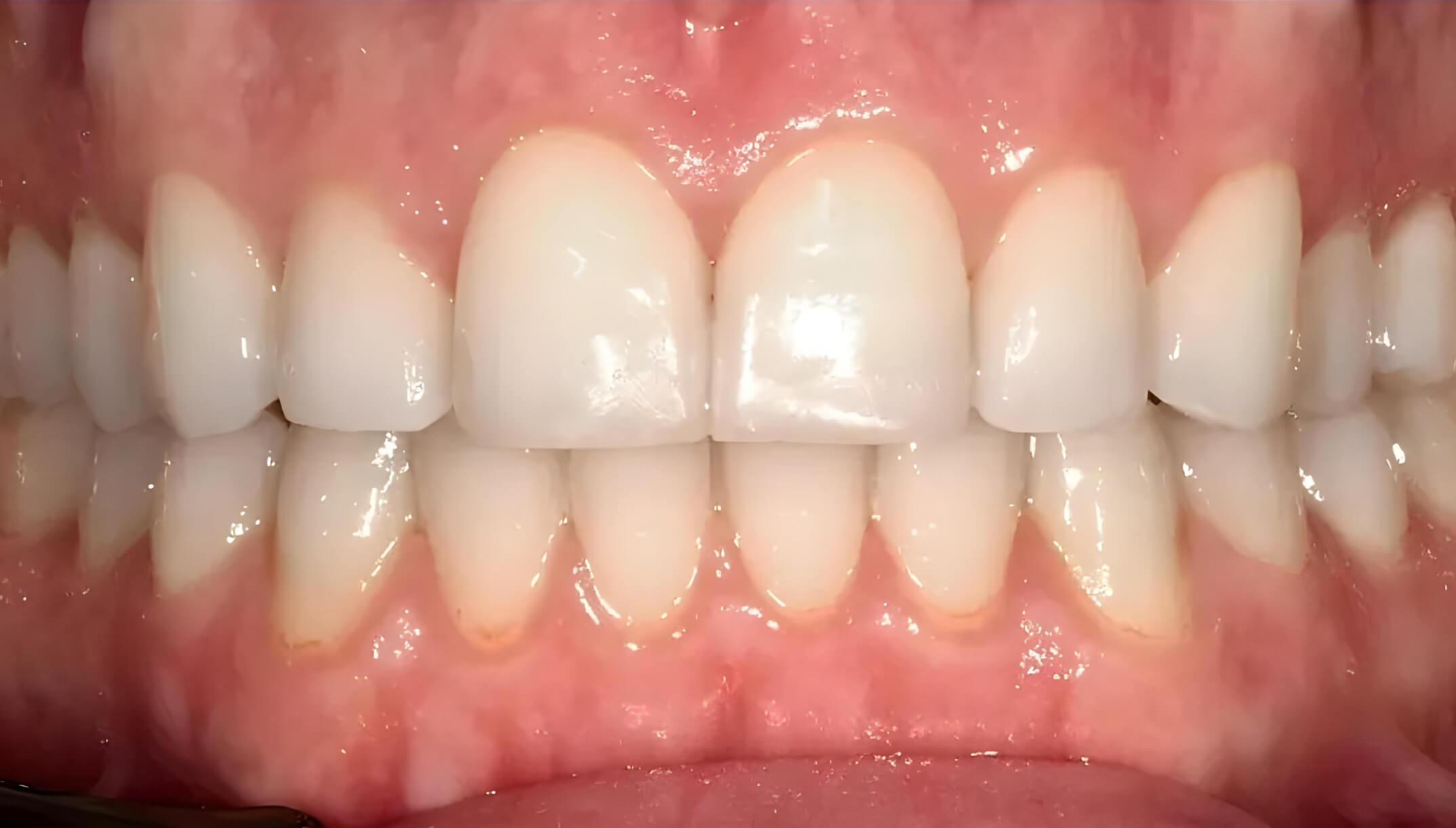
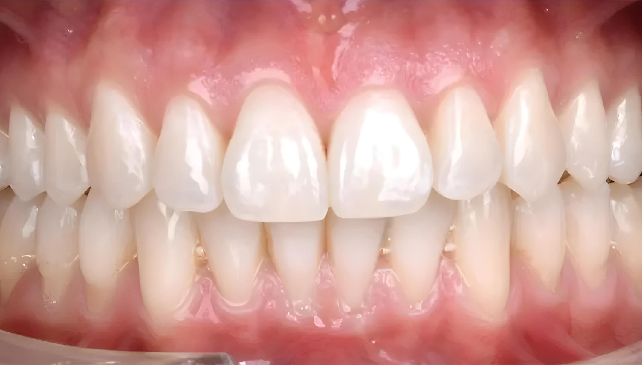
Before
After
Crossbite #13
Treatment time: 8 months
Aligners: 16 upper / 12 lower


Before
After
Crossbite #12
Treatment time: 13 months
Aligners: 26 upper / 26 lower


Before
After
Crossbite #11
Treatment time: 8 months
Aligners: 16 upper / 16 lower


Before
After
Crossbite #10
Treatment time: 14 months
Aligners: 25 upper / 27 lower


Before
After
Crossbite #9
Treatment time: 20 months
Aligners: 28 upper / 40 lower


Before
After
Crossbite #8
Treatment time: 13 months
Aligners: 25 upper / 25 lower


Before
After
Crossbite #7
Treatment time: 12 months
Aligners: 24 upper / 24 lower


Before
After
Crossbite #6
Treatment time: 13 months
Aligners: 26 upper / 18 lower


Before
After
Crossbite #5
Treatment time: 10 months
Aligners: 20 upper / 20 lower
...
