

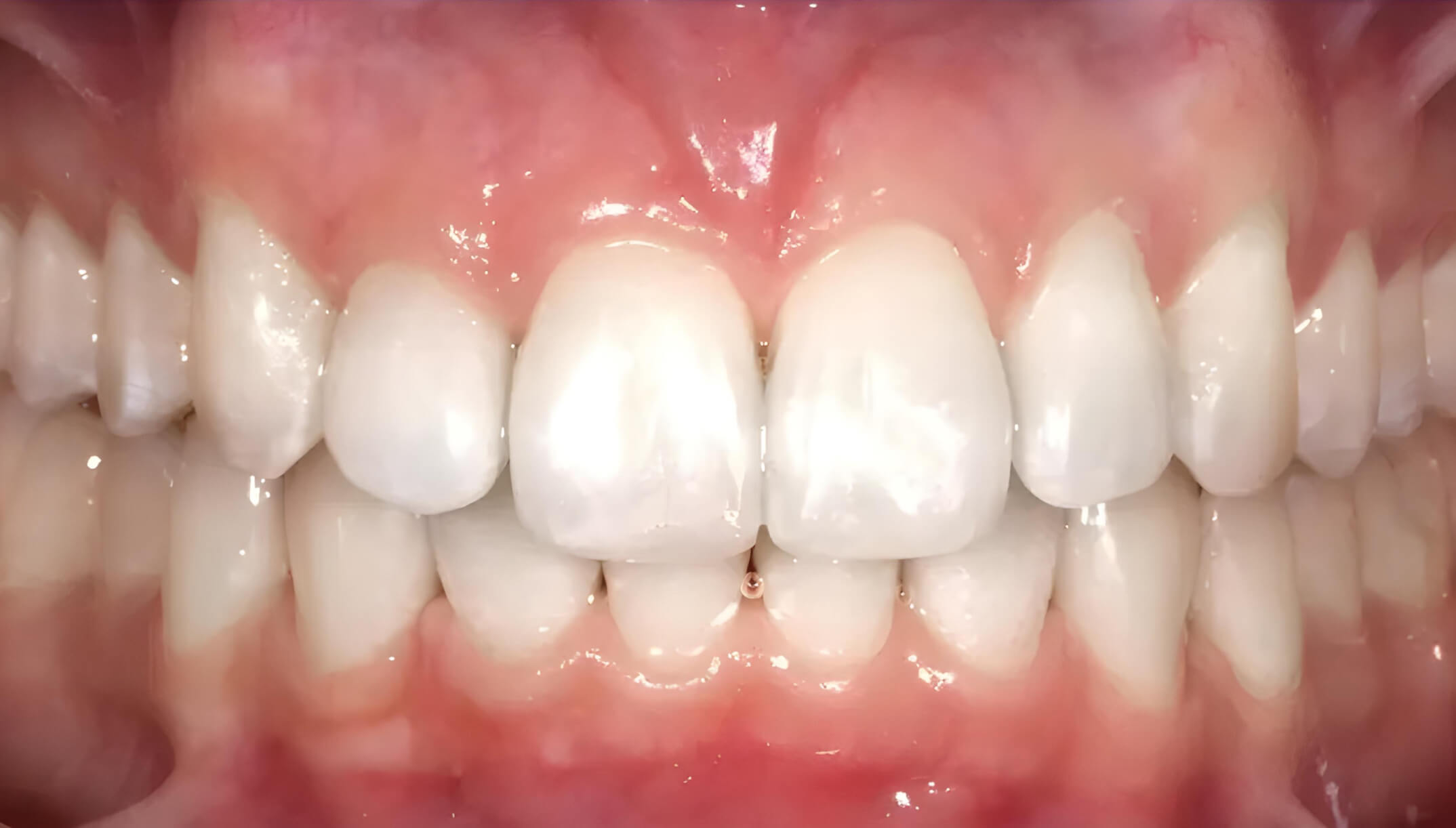
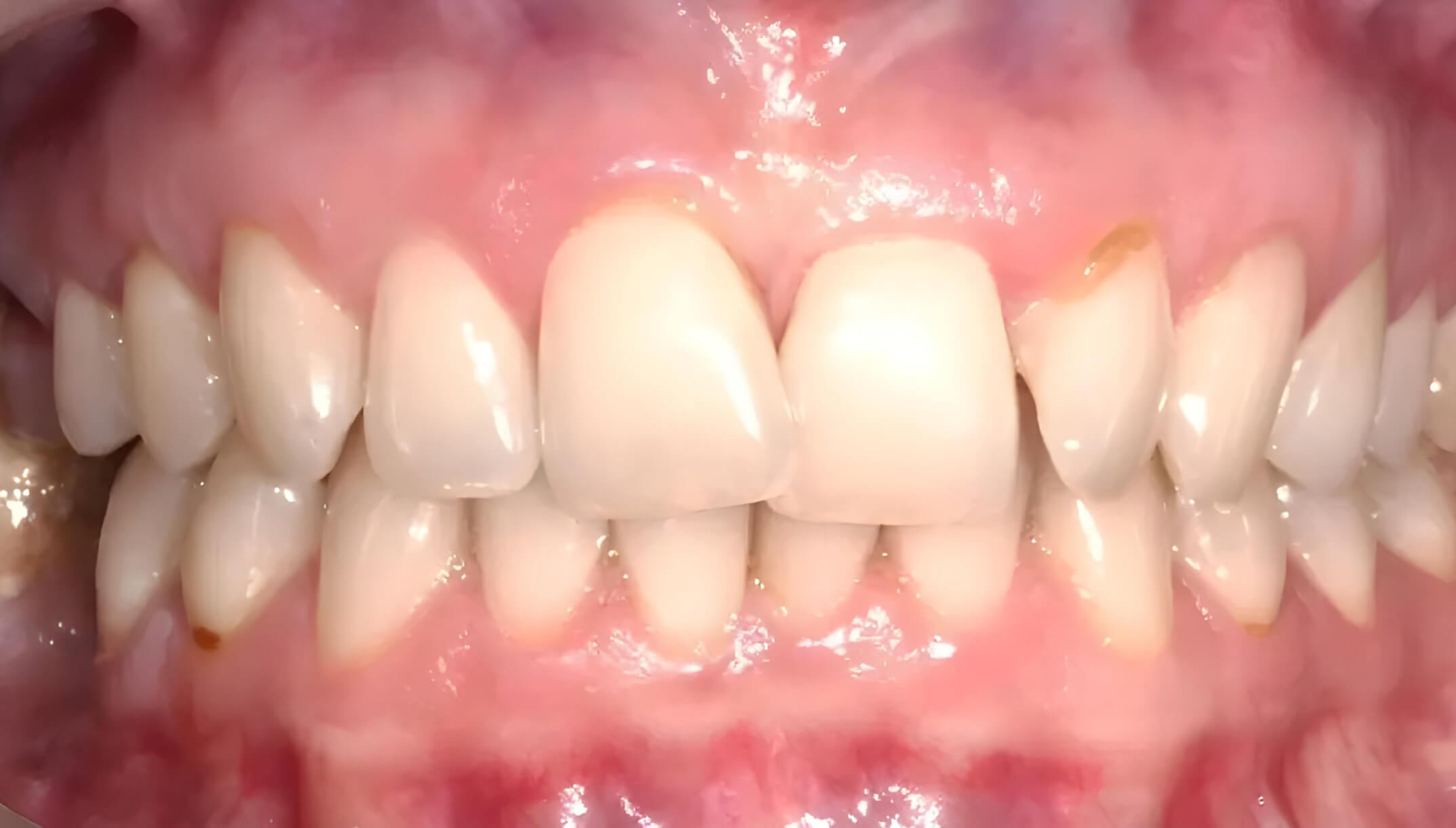
Before
After
Crowding #15
Treatment time: 12 months
Aligners: 19 upper / 24 lower


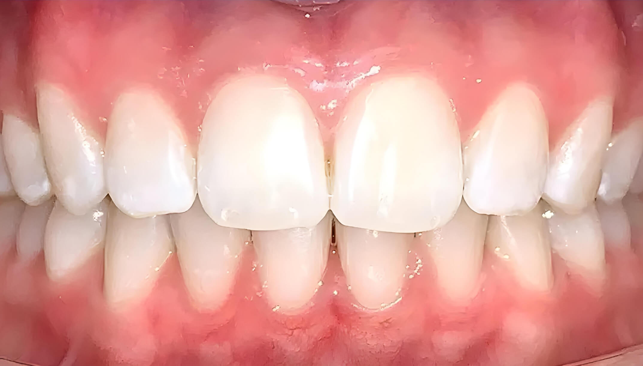
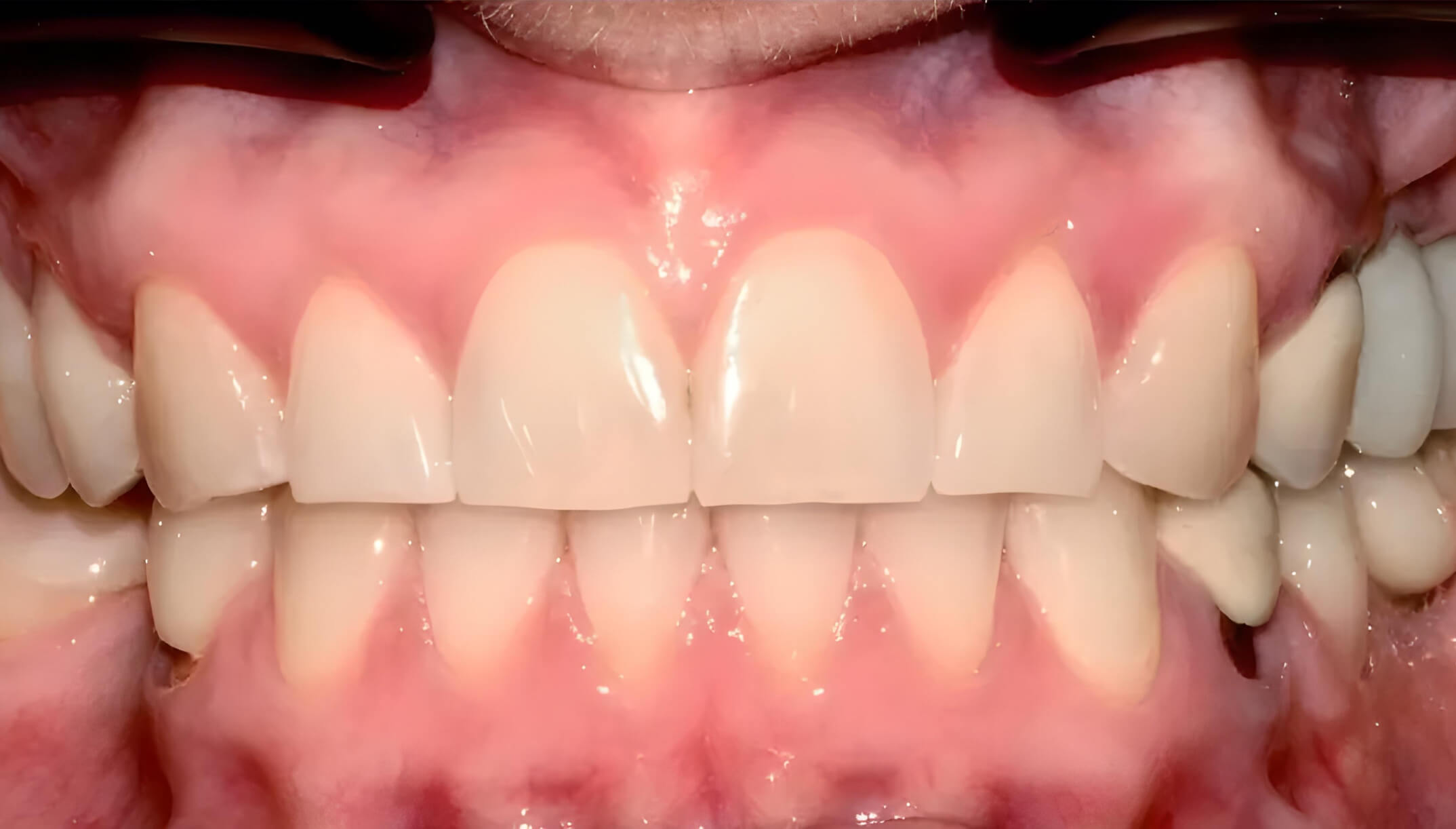
Before
After
Crowding #14
Treatment time: 11 months
Aligners: 21 upper / 21 lower


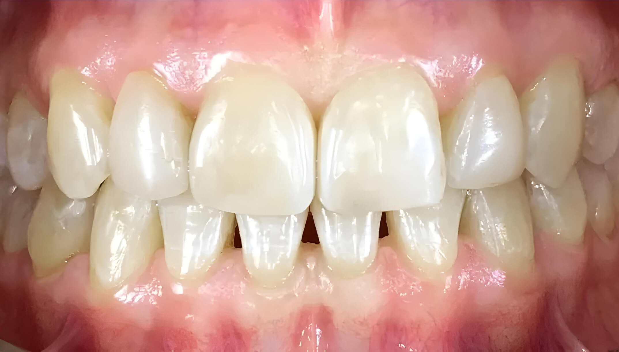
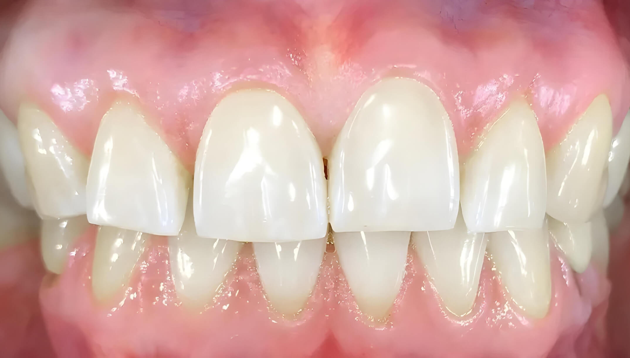
Before
After
Crowding #13
Treatment time: 8 months
Aligners: 16 upper / 16 lower


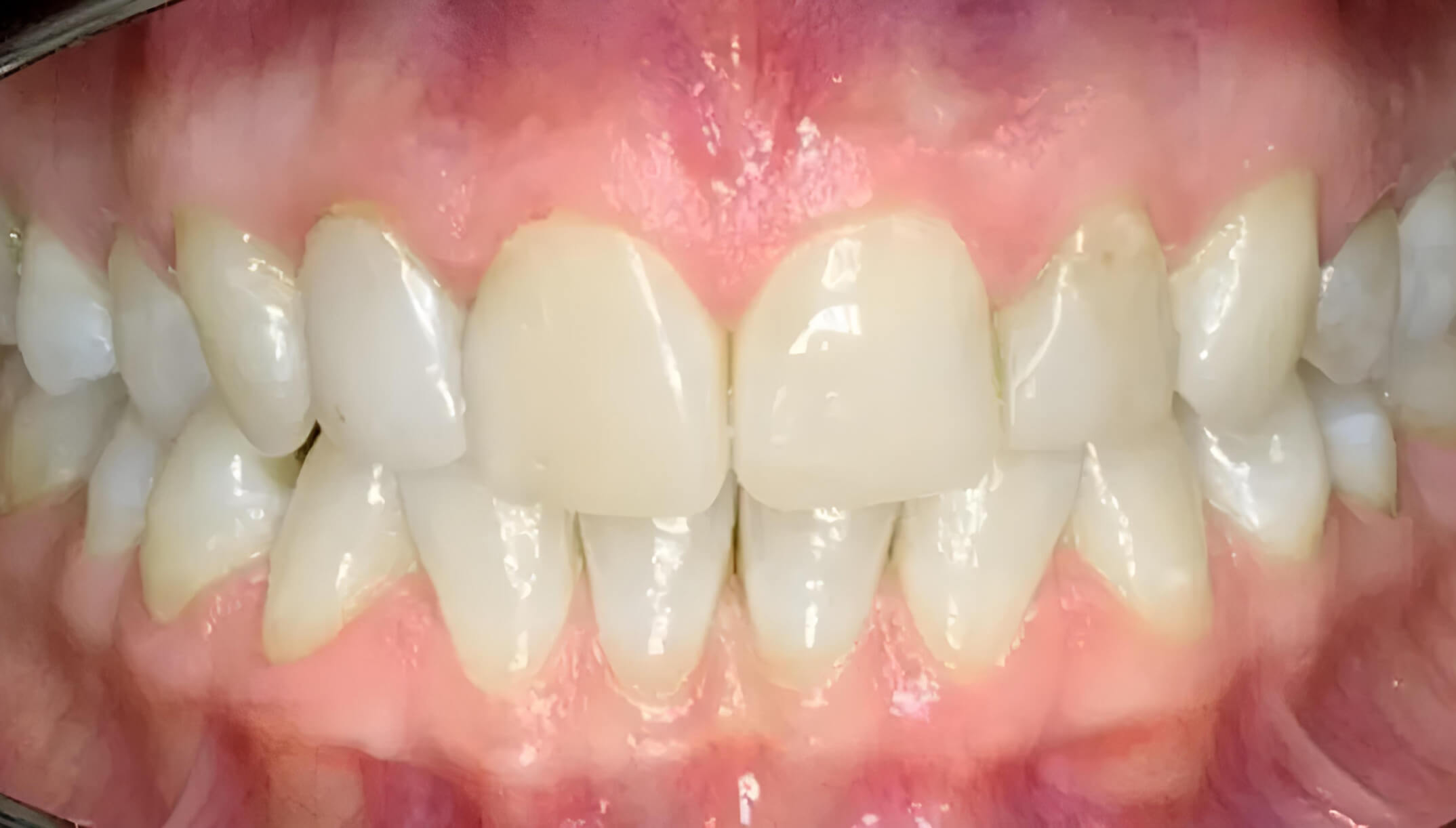
Before
After
Crowding #12
Treatment time: 10 months
Aligners: 20 upper / 20 lower


Before
After
Crowding #11
Treatment time: 12 months
Aligners: 20 upper / 24 lower


Before
After
Crowding #10
Treatment time: 8 months
Aligners: 16 upper / 16 lower


Before
After
Crowding #9
Treatment time: 16 months
Aligners: 32 upper / 32 lower


Before
After
Crowding #8
Treatment time: 16 months
Aligners: 32 upper / 32 lower


Before
After
Crowding #7
Treatment time: 16 months
Aligners: 32 upper / 32 lower


Before
After
Crowding #6
Treatment time: 21 months
Aligners: 25 upper / 42 lower


Before
After
Crowding #5
Treatment time: 12 months
Aligners: 24 upper / 24 lower


Before
After
Crowding #4
Treatment time: 11 months
Aligners: 22 upper / 22 lower
...
